What Makes MALDI an Ideal Technique for Label-Free Molecular Imaging?

MALDI is the most powerful ion desorption technology for examining many diverse classes of analyte molecules from different types of samples. When MALDI spectra are gathered in a spatially orientated pattern, each spectrum signifies a molecular fingerprint of a particular and unique region of the sample being examined.

Cover image courtesy of Dr Jeff Spraggins, Mass Spectrometry Research Center at Vanderbilt University

*Image courtesy of Dr Jeff Spraggins, Mass Spectrometry Research Center at Vanderbilt University

MALDI Imaging Ion images of six uniquely distributed phospholipids from the below rat testis section.

All detected ions can be projected into a two-dimensional map of sample location and intensity — an ion image. From one dataset, hundreds to thousands of exclusive, label-free ion images may be produced and used for mapping targeted compounds or untargeted discovery of molecular markers, which have a particular regional localization.

Biomarker Discovery or Targeted Monitoring

MALDI Imaging is a robust label-free molecular imaging tool for targeted monitoring or biomarker discovery. This groundbreaking method exposes molecular distributions on a cellular scale and can be a paramount problem-solver in many diverse domains of research:

  • Lipidomics
  • Drug discovery
  • Proteomics
  • Infectious disease
  • Inorganic surfaces
  • Cellular disease
  • Entomology
  • Plant metabolism

Benefits

  • Incorporate a spatial component to LC-based ‘omics studies
  • Find regionally specific biochemical variations and molecular markers
  • Localize and quantify for drug discovery
  • Incorporate molecular specificity to other imaging methods
  • Visually investigate metabolic pathways
  • Correlate protein glycosylations to disease

Add a Spatial Component to LC-Based ‘Omics

Homogenized samples examined by LC-MS/MS do not offer any localization information and the process may dilute extremely localized compounds below the limit of detection. Examine samples using MALDI Imaging and trap compound distributions, even when localized to very small compartments.

MALDI Imaging can simultaneously map hundreds of different compounds within a small region or across large cohorts of samples.

MALDI Imaging can simultaneously map hundreds of different compounds within a small region or across large cohorts of samples.

Locate, Discover, Identify

  • Examine many samples using MALDI Imaging to identify regionally particular molecular changes. By matching these molecules against LC-MS/MS data from the same samples, they can be validated and identified.
  • Examine many samples using LC-MS/MS to identify sample-specific molecular variations. Map these molecules in the samples with MALDI Imaging to validate that they have appropriate regional specificity.

Locate Three Potential Biomarkers and Correlate with Pathology

Discover three potential sample-specific biomarker ions.

Locate Three Potential Biomarkers and Correlate with Pathology

Correlate Protein Glycosylation to Disease

Correlate Protein Glycosylation to Disease

Correlate Protein Glycosylation to Disease

PNGase F treatment frees N-linked glycans:

  • Visualize patterns of glycosylation
  • Correlate glycosylation patterns to pathology
  • Detect N-glycans using MS/MS

Trypsin cleaves intractable proteins into detectable peptides:

  • Identify protein from peptide MS/MS
  • Tryptic peptides expose distribution of larger proteins in fresh frozen and FFPE tissues
  • Access insoluble proteins

We have developed and continue to evolve new glycan and glycoprotein methods for MALDI imaging. Bruker has been a strong partner in facilitating and supporting these efforts with their innovative instrumentation and software solutions.

Richard R. Drake, Professor and Director, MUSC Proteomics Center

Discover Regionally Specific Biochemical Differences and Molecular Markers

The SCiLS Lab segmentation map reflects the cellular heterogeneity of lymphoma, where cellular regions expressing similar molecular profiles are presented in the same color.

The segmentation map, which correlates really well with tissue pathology, enables the regions of highest interest to be analyzed with greater specificity.

Systems for Highest Sample Throughput

Flex MALDI-TOF systems offer the most adaptable analytical speed and range while generating numerous ion images per sample.

autoflex maX

It is a robust entry-level MALDI system for imaging and a lot more. Access to TOF/TOF is possible.

rapifleX

Innovative laser optics engineered precisely for highest performance and maximum speed for MALDI Imaging. Access to TOF/TOF is possible.

ultrafleXtreme

It is a high-performance TOF/TOF imaging system.

Systems for Highest Information Content

scimaX and 2XR MRMS systems deliver the maximum mass resolving power of any MALDI system in the market and are the ultimate systems for imaging drugs, lipids, and metabolites, generating numerous unique images per sample.

Understand the complete advantage of eXtreme Resolution. In the figure above, a three-color image from rat testis shows distributions of three ions at nominal m/z 848 and varying only by 300 MDa.

In the figure below, for smaller molecules, eXtreme Resolution can expose high-fidelity Isotopic Fine Structure that can be used to allocate exclusive molecular formula identification.

SmartFormula hits for measured m/z 313.14812 ± 1 ppm

Isotopic Fine Structure of A+2 is compatible with the theoretical IFS pattern of the correct formula.

 

Localize and Quantify for Drug Discovery

Crucial decisions can be made earlier: The low operational cost of MALDI Imaging enables it to be installed very early in the discovery pipeline to help make decisions sooner and closes the gap between traditional LC-MS and Quantitative Whole Body Autoradiography (QWBA) for distribution and metabolism research.

Whether for ADME/Tox studies or part of dosing and PK studies, MALDI Imaging delivers multiple target localization, high sensitivity, and concurrent discovery of toxicity markers — all combined with histology.

We have been able to achieve the spatial and spectral resolution required to examine sub-compartment tissue distributions and correlate them with histology in the preclinical setting. This ability to link chemistry and biology is permitting us to more closely examine the basis of drug toxicity and pharmacology as well as refine our understanding of pharmacokinetics and drug transport.

Steve Castellino, Senior GSK Fellow and Head of US Ex Vivo Imaging

Visually Explore Biochemical Pathways

Images courtesy of Prof. Per Andrén, Uppsala University

*Images courtesy of Prof. Per Andrén, Uppsala University

Mass spectrometry imaging enables us to simultaneously map and quantitate multiple neurotransmitters, their precursors and metabolites directly in tissue sections. That is, almost the complete dopaminergic and serotonergic neurotransmitter networks.

Per Andrén, Prof, Uppsala University, Sweden

Complete Software Toolkit

Acquire + Visualize + Analyze → Information

Acquire

Complete Software Toolkit

  • Define measurement areas from microscopic image
  • Method-driven image acquisition
  • Image the whole sample or only regions of interest

Visualize

Complete Software Toolkit

  • Numerous ion overlays
  • Save targeted ions for immediate visualization or investigate interactively
  • ROI segmentation

Analyze

Complete Software Toolkit

  • SCiLS Lab Premium 3D: Complete analyses of two- and three-dimensional images
  • SCiLS Lab Core: Auto-segmentation and co-localization
  • SCiLS Lab Pro: Complete analyses of large sample cohorts
  • SCiLS Cloud incorporates remote teams

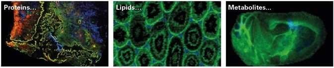
Add Molecular Specificity to Other Imaging Techniques

This enables customers to look further than optical morphology. They can import a number of other imaging modalities to study their MSI data in the most applicable context and increase confidence in their analyses.

Bruker established the integration of MALDI Imaging data with other imaging modalities to offer customers the most biologically appropriate information. Bruker’s imaging software allows co-registration and overlays of numerous images with total user control.

Add Molecular Specificity to Other Imaging Techniques

*Image courtesy of Dr. Jeff Spraggins, Mass Spectrometry Research Center at Vanderbilt, USA

ImaBiotech purchased several Bruker instruments because their devices’ high performance fit perfectly with our MALDI Imaging technology platform to provide superior services to the pharmaceutical and biomedical industries. Our extensive research made possible by integrating Bruker into our repertoire is proof of the unparalleled quality and robustness of Bruker technology.

Dr Jonathan Stauber, CEO, Imabiotech.

About Bruker Life Sciences Mass Spectrometry

Discover new ways to apply mass spectrometry to today’s most pressing analytical challenges. Innovations such as Trapped Ion Mobility (TIMS), smartbeam and scanning lasers for MALDI-MS Imaging that deliver true pixel fidelity, and eXtreme Resolution FTMS (XR) technology capable to reveal Isotopic Fine Structure (IFS) signatures are pushing scientific exploration to new heights. Bruker's mass spectrometry solutions enable scientists to make breakthrough discoveries and gain deeper insights.


Sponsored Content Policy: News-Medical.net publishes articles and related content that may be derived from sources where we have existing commercial relationships, provided such content adds value to the core editorial ethos of News-Medical.Net which is to educate and inform site visitors interested in medical research, science, medical devices and treatments.

Last updated: Mar 11, 2023 at 2:50 AM

Citations

Please use one of the following formats to cite this article in your essay, paper or report:

  • APA

    Bruker Life Sciences Mass Spectrometry. (2023, March 11). What Makes MALDI an Ideal Technique for Label-Free Molecular Imaging?. News-Medical. Retrieved on January 17, 2026 from https://appetitewellbeing.com/whitepaper/20190306/What-Makes-MALDI-an-Ideal-Technique-for-Label-Free-Molecular-Imaging.aspx.

  • MLA

    Bruker Life Sciences Mass Spectrometry. "What Makes MALDI an Ideal Technique for Label-Free Molecular Imaging?". News-Medical. 17 January 2026. <https://appetitewellbeing.com/whitepaper/20190306/What-Makes-MALDI-an-Ideal-Technique-for-Label-Free-Molecular-Imaging.aspx>.

  • Chicago

    Bruker Life Sciences Mass Spectrometry. "What Makes MALDI an Ideal Technique for Label-Free Molecular Imaging?". News-Medical. https://appetitewellbeing.com/whitepaper/20190306/What-Makes-MALDI-an-Ideal-Technique-for-Label-Free-Molecular-Imaging.aspx. (accessed January 17, 2026).

  • Harvard

    Bruker Life Sciences Mass Spectrometry. 2023. What Makes MALDI an Ideal Technique for Label-Free Molecular Imaging?. News-Medical, viewed 17 January 2026, https://appetitewellbeing.com/whitepaper/20190306/What-Makes-MALDI-an-Ideal-Technique-for-Label-Free-Molecular-Imaging.aspx.

Other White Papers by this Supplier

While we only use edited and approved content for Azthena answers, it may on occasions provide incorrect responses. Please confirm any data provided with the related suppliers or authors. We do not provide medical advice, if you search for medical information you must always consult a medical professional before acting on any information provided.

Your questions, but not your email details will be shared with OpenAI and retained for 30 days in accordance with their privacy principles.

Please do not ask questions that use sensitive or confidential information.

Read the full Terms & Conditions.