Sponsored Content by AbcamJan 24 2019
Hypoxia markers are cellular molecules which are expressed at greater levels when the cell or tissue is experiencing hypoxic conditions.
Some of them are listed below.
HIF-1α
When the cell is hypoxic, HIF-1a becomes a stable molecule and migrates into the nucleus. Here, it acts as a transcription regulator of certain genes which express proteins that increase the amount of oxygen delivered from the blood to the peripheral tissues or help the cells adapt faster and better in their metabolic processes to the presence of low oxygen levels.
![HIF-1a staining of HeLa cells. Anti-HIF-1a antibody [EPR16897] (ab179483) was used at 1/50 dilution with goat anti-rabbit IgG (Alexa Fluor® 488) secondary antibody. Cells were treated with 0.6 nM CoCl2 for 6 hours.](https://appetitewellbeing.com/image-handler/picture/2018/10/1.jpg)
Figure 1. HIF-1a staining of HeLa cells. Anti-HIF-1a antibody [EPR16897] (ab179483) was used at 1/50 dilution with goat anti-rabbit IgG (Alexa Fluor® 488) secondary antibody. Cells were treated with 0.6 nM CoCl2 for 6 hours.
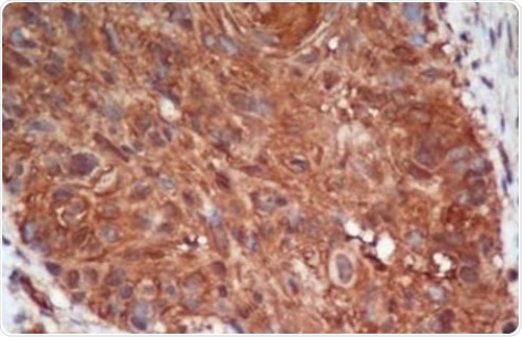
BNIP3
HIF-1a can induce the expression of BNIP3 when the cell is hypoxic, and it is linked to various phenomena, such as autophagy mediated by hypoxia, cell survival mechanisms and progression of tumors1.

Figure 2. BNIP3 staining of laryngeal squamous cell carcinoma tissue. Anti-BNIP3 mouse monoclonal antibody (ab10433) was used at 1/100 dilution and visualized by DAB.
PDK1
PDK1 (pyruvate dehydrogenase kinase 1) is a molecule whose expression is dependent upon HIF-1a expression. It is therefore, a marker of hypoxia, and it is responsible for moving glucose through the glycolysis pathway - an anerobic metabolic route - so that ATP can still be produced for the body’s energy needs2.

Figure 3. PDK1 staining of NIH/3T3 cells. Anti-mitochondrial pyruvate dehydrogenase kinase 1 antibody (ab202468) was used at a dilution of 1/1000 with goat anti-rabbit IgG (Alexa Fluor 488) secondary antibody (ab150077). Cells were counterstained with DAPI (blue) and tubulin also stained (red).
GLUT1
The GLUT1 protein is a glucose transporter that is downstream of HIF-1a, and is therefore expressed more actively in hypoxia3.

Figure 4. GLUT1 staining of HEPg2 cells. Anti-glucose transporter GLUT antibody (ab115730) was used at a dilution of 1/100 with Alexa Fluor® 488 goat anti-rabbit secondary antibody (ab150077). Cells were counterstained with DAPI and tubulin was also stained (red).
References
- Bellot G, Garcia-Medina, Gounon P, Chiche J, Roux D, Pouysségur J, Mazure NM. Hypoxia-induced autophagy is mediated through hypoxia-inducible factor induction of BNIP3 and BNIP3L via their BH3 domains. Mol Cell Biol. 10, 2570–81 (2009).
- Kim JW, Tchernyshyov I, Semenza GL, Dang CV. HIF-1-mediated expression of pyruvate dehydrogenase kinase: a metabolic switch required for cellular adaptation to hypoxia. Cell Metab. 3, 177–85 (2006).
- Chen C, Pore N, Behrooz A, Ismail-Beigi F, Maity A. Regulation of glut1 mRNA by hypoxia-inducible factor-1. Interaction between H-ras and hypoxia. J Biol Chem. 276, 9519–25 (2000).
About Abcam
Abcam is a global life sciences company providing highly validated antibodies and other binders and assays to the research and clinical communities to help advance the understanding of biology and causes of disease.
Abcam’s mission is to serve life scientists to help them achieve their mission faster by listening to their needs, continuously innovating and improving and by giving them the tools, data and experience they want. Abcam’s ambition is to become the most influential life science company for researchers worldwide.
Sponsored Content Policy: News-Medical.net publishes articles and related content that may be derived from sources where we have existing commercial relationships, provided such content adds value to the core editorial ethos of News-Medical.Net which is to educate and inform site visitors interested in medical research, science, medical devices and treatments.