Cancer in the eye does not always develop into central nervous system lymphoma

Researchers at Okayama University report in the Journal of clinical and experimental hematopathology that primary intraocular lymphoma, a cancer in the eye, does not always develop into central nervous system lymphoma. In addition, the scientists confirmed that there is no marker available to predict when the former will develop into the latter.

Cancer in the eye does not always develop into central nervous system lymphoma
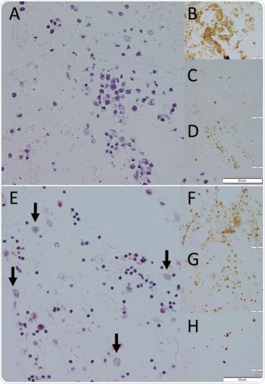
Pathological staining of vitrectomy cell blocks for two cases (top and bottom) where PIOL occurred without the development of central nervous system lymphoma.

Primary intraocular lymphoma (PIOL) is a cancer in the eye originating in lymphocytes, cells of the immune system that fight infections; lymphoma is the condition when lymphocytes grow in an uncontrolled way. Often, PIOL develops into central nervous system lymphoma — uncontrolled growth of lymphocytes in the nervous system in the brain and the spinal cord. It is not clear, however, whether this development always occurs. Now, Professor MATSUO Toshihiko (eye doctor) and Assistant Professor TANAKA Takehiro (pathologist) from Okayama University have addressed the question whether there are PIOLs that do not develop central nervous system lymphoma. They observed a group of patients, and found that in the small number of cases, PIOL does not spread to the central nervous system. Importantly, PIOL has a good prognosis if it does not develop into central nervous system lymphoma.

The researchers studied 22 patients (14 women, 8 men) for up to 14 years. The patients’ ages ranged from 42 to 84 years at the time of the first eye examination. In 12 patients, both eyes were affected by PIOL; in the others, only one eye. All 22 patients underwent vitrectomy (surgery in which some or all of the vitreous gel between the retina and the lens in the middle of the eye is removed) after diagnosis of PIOL.

Of the 22 patients, 17 developed central nervous lymphoma. For 3 of the 5 patients who did not, the follow-up period was relatively short (up to 3 years). The follow-up periods for the other 2 patients were 5 and 11 years; these patients did not undergo chemotherapy or radiation of the eye. Based on these long-term follow-up results, Matsuo and Tanaka concluded that PIOL does not necessarily develop into central nervous system lymphoma.

The scientists also examined whether the presence of a protein called CD5 in specimens taken during vitrectomy surgery are a marker of central nervous system lymphoma. But both patients with CD5-positive and patients with CD5-negative tests developed central nervous system lymphoma, which made Matsuo and Tanaka conclude that:

At present, there is no marker available to predict whether a patient with PIOL will develop central nervous system lymphoma.”

Background

Primary intraocular lymphoma (PIOL)

Primary intraocular lymphoma (PIOL) is a cancer that involves the retina, the vitreous chamber in the middle of the eye and/or the optic nerve. It manifests itself as opacity of the gel in the vitreous chamber, which can be accompanied by lesions in the retina, in subretinal pigment epithelium (beneath the pigmented cell layer just outside the retina), or in the optic nerve. Often, PIOL develops into central nervous system lymphoma, simultaneously or at a later time. Professor MATSUO Toshihiko and Assistant Professor TANAKA Takehiro from Okayama University have now investigated if PIOL also occurs without development into central nervous system lymphoma, and whether a marker for such development exists.

Source:
Journal reference:

Matsuo, T & Tanaka, T. (2019) Are there primary intraocular lymphomas that do not develop into central nervous system lymphomas?. Journal of Clinical and Experimental Hematopathology. doi.org/10.3960/jslrt.19019.

Comments

The opinions expressed here are the views of the writer and do not necessarily reflect the views and opinions of News Medical.
Post a new comment
Post

Sign in to keep reading

We're committed to providing free access to quality science. By registering and providing insight into your preferences you're joining a community of over 1m science interested individuals and help us to provide you with insightful content whilst keeping our service free.

or

While we only use edited and approved content for Azthena answers, it may on occasions provide incorrect responses. Please confirm any data provided with the related suppliers or authors. We do not provide medical advice, if you search for medical information you must always consult a medical professional before acting on any information provided.

Your questions, but not your email details will be shared with OpenAI and retained for 30 days in accordance with their privacy principles.

Please do not ask questions that use sensitive or confidential information.

Read the full Terms & Conditions.

You might also like...
Investigational cancer vaccine shows early promise for cancer prevention in Lynch syndrome