Patients with diabetes may have worse lung infections

Since the Middle East respiratory syndrome coronavirus (MERS-CoV) first emerged in Saudi Arabia in 2012, there have been more than 2,400 confirmed cases of the infection, resulting in greater than 800 deaths - an alarming fatality rate of 35 percent. For this reason, researchers have been eager to identify any risk factors that contribute to the development of severe or lethal disease. Current clinical evidence points to diabetes as a major risk factor in addition to other comorbidities including kidney disease, heart disease, and lung disease.

MERS virus, Middle-East Respiratory Syndrome coronavirus in human lungs, 3D illustration - Image Credit: Kateryna Kon/ Shutterstock
MERS virus, Middle-East Respiratory Syndrome coronavirus in human lungs, 3D illustration - Image Credit: Kateryna Kon/ Shutterstock

People who have diabetes may have worse symptoms. A team of researchers at the University of Maryland School of Medicine and the Johns Hopkins University School of Medicine may have found the answer to why diabetic patients have worse symptoms of lung disease. Understanding how diabetes affects MERS-CoV is important to formulate better diagnostics and therapeutics for them.

The researchers have shown how diabetes can contribute to mortality from severe lung infection, and the discovery can shed light on why other respiratory diseases, such as pneumonia or flu, can affect those with diabetes more severely.

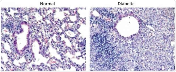
Lung sections from 21 days after infection with MERS-CoV in normal mice (left) and diabetic mice (right). We find that normal mice resolve the inflammation faster than diabetic mice leading to prolonged weight loss and disease in the diabetic mice. Image Credit: University of Maryland School of Medicine
Lung sections from 21 days after infection with MERS-CoV in normal mice (left) and diabetic mice (right). We find that normal mice resolve the inflammation faster than diabetic mice leading to prolonged weight loss and disease in the diabetic mice. Image Credit: University of Maryland School of Medicine

Diabetes may prolong the inflammatory response

The study, published in the Journal of Clinical Investigation Insights, showed the link between diabetes and MERS-CoV in laboratory mice. The team found that the mice with diabetes had prolonged and delayed inflammatory response in the respiratory tract, compared to the healthy controls. Interestingly, mice with diabetes had reduced amounts of inflammatory cytokines, macrophages, and T cells.

"Understanding how diabetes contributes to disease severity following MERS-CoV infection in this context is critical. Our next step is to determine what drives the altered immune response in diabetics and how to reverse those effects with therapeutics for the treatment of patients,” Dr. Matthew Frieman, associate professor of microbiology and immunology, said in a statement.

The investigators used a model wherein mice were made susceptible to MERS-CoV, through the expression of human DPP4 and type 2 diabetes. The mice were given a high-fat diet to induce type 2 diabetes, and when these mice were infected by the virus, they had longer severe disease duration and delayed recovery.

Understanding how diabetes affects MERS-CoV

When the tissues were examined, the analysis revealed that mice with diabetes had delayed inflammation, spanning 21 days after the infection. The data gathered shows that type 2 diabetes patients might have worse symptoms, delayed recovery, the disease is more severe due to a dysregulated immune response.

“Our current model to study diabetes and MERS-CoV infection provides the opportunity to investigate a wide variety of questions, such as the contribution of age to disease severity in diabetic mice, how anti-T2D drugs affect pathogenesis and disease outcome, and the efficacy of current therapeutics and vaccines in the context of diabetes,” the researchers wrote in the paper.

“This model is a stepping-stone in understanding how diabetes affects MERS-CoV pathogenesis and how to effectively develop therapeutics and vaccines for this high-need population,” they added.

What is MERS-CoV and how to prevent it

The Middle East Respiratory Syndrome Coronavirus (MERS-CoV) is a potentially fatal lung disease. It affects the respiratory system and can lead to serious complications. There are many ways to prevent  the spread of the infection:

  • Practice proper hand hygiene by washing your hands with soap and water.
  • Avoid contact with farm and domesticated animals, including camels.
  • Practice proper cough etiquette by covering your nose and mouth when coughing or sneezing.
  • Avoid contact with patients infected with the virus. If you have respiratory disease, make sure to wear a mask and stay home as much as possible.
  • For health workers, always follow infection control protocols.

If you suspect that you have the infection, visit your doctor immediately.

Journal reference:

Kulcsar, K.A, et al. (2019) Comorbid diabetes results in immune dysregulation and enhanced disease severity following MERS-CoV infection. Journal of Clinical Investigation Insight. doi.org/10.1172/jci.insight.131774. https://insight.jci.org/articles/view/131774

Angela Betsaida B. Laguipo

Written by

Angela Betsaida B. Laguipo

Angela is a nurse by profession and a writer by heart. She graduated with honors (Cum Laude) for her Bachelor of Nursing degree at the University of Baguio, Philippines. She is currently completing her Master's Degree where she specialized in Maternal and Child Nursing and worked as a clinical instructor and educator in the School of Nursing at the University of Baguio.

Citations

Please use one of the following formats to cite this article in your essay, paper or report:

  • APA

    Laguipo, Angela. (2019, October 21). Patients with diabetes may have worse lung infections. News-Medical. Retrieved on January 17, 2026 from https://appetitewellbeing.com/news/20191021/Patients-with-diabetes-may-have-worse-lung-infections.aspx.

  • MLA

    Laguipo, Angela. "Patients with diabetes may have worse lung infections". News-Medical. 17 January 2026. <https://appetitewellbeing.com/news/20191021/Patients-with-diabetes-may-have-worse-lung-infections.aspx>.

  • Chicago

    Laguipo, Angela. "Patients with diabetes may have worse lung infections". News-Medical. https://appetitewellbeing.com/news/20191021/Patients-with-diabetes-may-have-worse-lung-infections.aspx. (accessed January 17, 2026).

  • Harvard

    Laguipo, Angela. 2019. Patients with diabetes may have worse lung infections. News-Medical, viewed 17 January 2026, https://appetitewellbeing.com/news/20191021/Patients-with-diabetes-may-have-worse-lung-infections.aspx.

Comments

The opinions expressed here are the views of the writer and do not necessarily reflect the views and opinions of News Medical.
Post a new comment
Post

Sign in to keep reading

We're committed to providing free access to quality science. By registering and providing insight into your preferences you're joining a community of over 1m science interested individuals and help us to provide you with insightful content whilst keeping our service free.

or

While we only use edited and approved content for Azthena answers, it may on occasions provide incorrect responses. Please confirm any data provided with the related suppliers or authors. We do not provide medical advice, if you search for medical information you must always consult a medical professional before acting on any information provided.

Your questions, but not your email details will be shared with OpenAI and retained for 30 days in accordance with their privacy principles.

Please do not ask questions that use sensitive or confidential information.

Read the full Terms & Conditions.

You might also like...
Higher intake of food preservatives linked to increased risk of type 2 diabetes