Regulating blood supply to limbs after stroke improves functional recovery

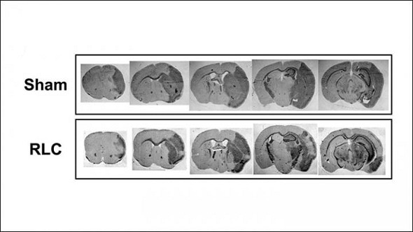
Cutting off and then restoring blood supply to a limb following a stroke reduces tissue damage and swelling and improves functional recovery, according to a new study in mice published in JNeurosci. The simple, noninvasive technique could be developed into a treatment for stroke patients of varying severity.

Regulating blood supply to limbs after stroke improves functional recovery

Remote ischemic limb conditioning utilizes a blood pressure cuff and has been shown to aide in stroke recovery, potentially by affecting monocytes. Monocytes are a type of white blood cell involved in immune responses that can either reduce or promote inflammation, which is necessary in the tissue recovery process.

Sunghee Cho and colleagues at Burke Neurological Institute treated mice that experienced a stroke with remote ischemic limb conditioning and tested the monocyte levels in their blood. The research team found that the ratio of inflammatory to non-inflammatory monocytes circulating in the blood increased, resulting in more available inflammatory cells.

Surprisingly, the increase in circulating inflammatory cells was associated with reduced brain tissue damage and swelling and improved motor function. The symptoms improved for both moderate and severe strokes, indicating the potential for wide application as a stroke treatment.

Source:
Journal reference:

Yang, J. et al. (2019) Remote post-ischemic conditioning promotes stroke recovery by shifting circulating monocytes to CCR2+ pro-inflammatory subset. Journal of Neuroscience. doi.org/10.1523/JNEUROSCI.2699-18.2019.

Citations

Please use one of the following formats to cite this article in your essay, paper or report:

  • APA

    Society for Neuroscience. (2019, August 21). Regulating blood supply to limbs after stroke improves functional recovery. News-Medical. Retrieved on January 17, 2026 from https://appetitewellbeing.com/news/20190821/Regulating-blood-supply-to-limbs-after-stroke-improves-functional-recovery.aspx.

  • MLA

    Society for Neuroscience. "Regulating blood supply to limbs after stroke improves functional recovery". News-Medical. 17 January 2026. <https://appetitewellbeing.com/news/20190821/Regulating-blood-supply-to-limbs-after-stroke-improves-functional-recovery.aspx>.

  • Chicago

    Society for Neuroscience. "Regulating blood supply to limbs after stroke improves functional recovery". News-Medical. https://appetitewellbeing.com/news/20190821/Regulating-blood-supply-to-limbs-after-stroke-improves-functional-recovery.aspx. (accessed January 17, 2026).

  • Harvard

    Society for Neuroscience. 2019. Regulating blood supply to limbs after stroke improves functional recovery. News-Medical, viewed 17 January 2026, https://appetitewellbeing.com/news/20190821/Regulating-blood-supply-to-limbs-after-stroke-improves-functional-recovery.aspx.

Comments

The opinions expressed here are the views of the writer and do not necessarily reflect the views and opinions of News Medical.
Post a new comment
Post

While we only use edited and approved content for Azthena answers, it may on occasions provide incorrect responses. Please confirm any data provided with the related suppliers or authors. We do not provide medical advice, if you search for medical information you must always consult a medical professional before acting on any information provided.

Your questions, but not your email details will be shared with OpenAI and retained for 30 days in accordance with their privacy principles.

Please do not ask questions that use sensitive or confidential information.

Read the full Terms & Conditions.

You might also like...
Recognizing and drawing an object engage the brain in similar ways