Dr. Tomislav Meštrović

Dr. Tomislav Meštrović

Clinical Microbiology

MSPH Health Services Management, Ph.D. Biomedicine and Health Sciences

Dr. Tomislav Meštrović is a medical doctor (MD) with a Ph.D in biomedical sciences from his studies in Croatia, but is also an avid lecturer, science communicator, medical writer and lifelong learner. His areas of interest span over several domains in medicine and life sciences.

See more

Dr. Meštrović is a clinical microbiology consultant and director of a microbiology laboratory in the private health sector. Some of his quotidian activities include consultative work, antibiotic stewardship, quality improvement ventures and coordination of a clinical research unit. His clinical research path (that he tries to blend with patient care) really took off when he successfully defended his Ph.D thesis at the University of Zagreb Medical School in February 2014 on the topic of antimicrobial susceptibility patterns in Chlamydia trachomatis urogenital strains.

Since 2015, as a research fellow at the University of Zagreb Medical School, he has been involved in the first Croatian microbiome translational research project entitled “Assessment of Microbiota, Inflammatory Markers, Nutritional and Endocrinological Status in IBD Patients – MINUTE for IBD”. Its overall aim is to assess intestinal microbiota of patients with inflammatory bowel diseases and to discover novel biomarkers by using state-of-the-art next-generation sequencing and advanced bioinformatics methods.

In general, his research interests today encompass antimicrobial resistance, sexually-transmitted diseases, human microbiome and general public health, which are all fields where he published extensively in peer-reviewed journals. Tomislav also acts as a managing editor and reviewer for various scientific journals indexed in Current Contents and PubMed.

In 2015, Dr. Meštrović started working at Croatia’s youngest public university (University North), where he became an Assistant Professor in January 2016. Currently he is a course coordinator for three obligatory undergraduate courses, striving towards evidence-based teaching (akin to his clinical research practices), which was reinforced by Science Teaching Fellowship (STF) and Discipline Based Education Research (DBER) programs under the auspices of the American Society for Microbiology (ASM).

Dr. Meštrović  currently serves as the Antibiotic Action Champion of the British Society for Antimicrobial Chemotherapy (BSAC), Young Ambassador of Science of the American Society of Microbiology (ASM), and was also a chair of ASM’s Young Leaders’ Circle. He is also a member of the EpiCore Network, European Society of Clinical Microbiology and Infectious Diseases (ESCMID), International Society for Infectious Diseases (ISID), International Union against Sexually Transmitted Infections (IUSTI), and the New York Academy of Sciences (NYAS).

Dr. Meštrović  has been interested in science and health communication since his student days, when he was one of the editors of the student magazine known as Medicinar. He is currently a medical consultant and part of the editorial board of PLIVAzdravlje health portal – the biggest medical information service in Croatia and the whole region.

Before joining News Medical, Dr. Meštrović previously worked with other leading sources of reliable news, including working on an Ebola story (among other contributions) during the disease outbreak in 2014.

Dr. Meštrović is passionate about science outreach and science diplomacy. He is currently a chief Operating Partner in Croatia for the International HPV Awareness Day Alliance (in collaboration with the International Papillomavirus Society). In 2018, he was appointed by the Ministry of Science and Education of the Republic of Croatia as a Managing Committee Member to COST Action on evidence-based medicine run by the European Union. In his spare time, he enjoys screening records as a member of Cochrane Crowd, Cochrane Collaboration’s citizen science platform.

See less

Articles from Tomislav

Lessons from Italy's COVID-19 pandemic underscore the need for more research

Lessons from Italy's COVID-19 pandemic underscore the need for more research

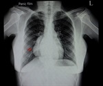
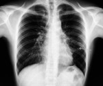
Symptoms and Diagnosis of Mediastinitis

Symptoms and Diagnosis of Mediastinitis

What is Mediastinitis?

What is Mediastinitis?

What are Breast Fibroadenomas?

What are Breast Fibroadenomas?

Highlights and key takeaways from the 2019 Boston Bacterial Meeting (BBM)

Highlights and key takeaways from the 2019 Boston Bacterial Meeting (BBM)

Key research takeaways from ECCMID 2019

Key research takeaways from ECCMID 2019

MALDI-TOF in Organic Chemistry

MALDI-TOF in Organic Chemistry

Heartland Virus Biology and Transmission Patterns

Heartland Virus Biology and Transmission Patterns

Ehrlichiosis Treatment and Prevention

Ehrlichiosis Treatment and Prevention

Metaproteomics Applications

Metaproteomics Applications

While we only use edited and approved content for Azthena answers, it may on occasions provide incorrect responses. Please confirm any data provided with the related suppliers or authors. We do not provide medical advice, if you search for medical information you must always consult a medical professional before acting on any information provided.

Your questions, but not your email details will be shared with OpenAI and retained for 30 days in accordance with their privacy principles.

Please do not ask questions that use sensitive or confidential information.

Read the full Terms & Conditions.