Gram Negative Bacteria

Gram staining is a type of differential staining used to distinguish between Gram positive and Gram negative bacterial groups, based on inherent differences in their cell wall constituents.

Credit: fusebulb/Shutterstock.com

Stains increase contrast allowing bacteria to be observed with greater ease.Gram staining is dependent on the interaction between the negatively charged surface of bacteria and the positive ions within common stains.

Gram negative bacteria are often pathogenic and contain endotoxins within their outer membranes. The cell wall structure of Gram negative bacteria also confers an  increased ability to resist antibiotics. Escherichia coli is an example of a common Gram negative bacterium.

Gram stain procedure

The Gram stain procedure was developed by Hans Christian Gram in the 1800s and was one of the first techniques taught to students in microbiology laboratories. A dried bacterial smear is flooded with a crystal violet stain before iodine is added to fix the stain into an insoluble complex.

The smear is de-stained using an alcohol or acetone solution to remove any weakly bound stain, before being  counterstained with the red dye, safranin. The slide is rinsed between each procedural step with the final wash acting as preparation for observation under a microscope.

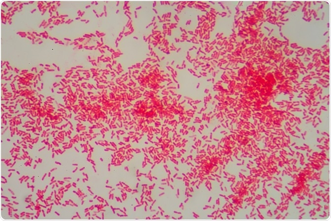
Gram positive bacteria are observed as blue or violet colored cells (having retained the stain)  whilst Gram negative bacteria appear pink because of the counterstain.

Gram negative bacteria cell wall structure

Gram negative bacteria are  characterized by the presence of the periplasmic space, which is a single layer of peptidoglycan sandwiched between the cytoplasmic membrane and the outer membrane. Peptidoglycan, also known as murein, is a polymer that consists of a carbohydrate backbone and amino acids.

Peptide chains within the peptidoglycan structure are partially cross-linked in Gram negative bacteria, contrasting with the highly cross-linked peptide chains of Gram positive bacteria.

The outer membrane contains lipopolysaccharide, a large molecule that is toxic to animals. During Gram staining, the outer membrane of Gram negative bacteria deteriorates from the alcohol added to the sample and the thin layer of peptidoglycan is not able to retain the crystal violet stain.

The counterstain is added to provide contrast by staining the decolorized Gram negative bacteria through the thin peptidoglycan layer whilst being light enough to not disturb the crystal violet staining on the Gram positive bacteria.

Credit: toeytoey/Shutterstock.com

Gram negative bacteria as pathogens

Gram negative bacteria are often pathogenic and include Escherichia coli, a common cause of food poisoning and Vibrio cholerae, the waterborne pathogen responsible for cholera outbreaks. The pathogenic capability of Gram negative bacteria is caused by their constituent membrane components.

The lipopolysaccharide endotoxin that resides in the outer membrane can cause a toxic reaction or strong immune response in the host animal. Gram-negative bacteria that enter the circulatory system may release lipopolysaccharides in large enough amounts  to trigger an immune response that is injurious to the host’s organs and tissues.  

The circulating lipopolysaccarides found within the blood stream of patients suffering from sepsis indicates that endotoxins are an important drug target for the prevention and treatment of septic shock.

Gram negative bacteria and resistance to antibiotics

Gram- negative bacteria are less susceptible to antibiotics because of their outer membrane. This is because the outer membrane provides protection from treatments that would ordinarily damage the inner membrane. Antibiotic resistant strains of bacteria have been noted to display modifications in the lipid or protein composition of the outer membrane.

Small hydrophilic antibiotics target porins, protein channels that provide a pathway through the outer membrane. Antibiotic resistance has been linked to a reduction in the rate of entry for antibiotics through porins via modifications to the outer membrane profile or reduced permeability caused by specific mutations.

Reviewed by Gillian D’Souza, MSc

Further Reading

Last Updated: Aug 23, 2018

Shelley Farrar Stoakes

Written by

Shelley Farrar Stoakes

Shelley has a Master's degree in Human Evolution from the University of Liverpool and is currently working on her Ph.D, researching comparative primate and human skeletal anatomy. She is passionate about science communication with a particular focus on reporting the latest science news and discoveries to a broad audience. Outside of her research and science writing, Shelley enjoys reading, discovering new bands in her home city and going on long dog walks.

Citations

Please use one of the following formats to cite this article in your essay, paper or report:

  • APA

    Stoakes, Shelley Farrar. (2018, August 23). Gram Negative Bacteria. News-Medical. Retrieved on January 17, 2026 from https://appetitewellbeing.com/life-sciences/Gram-Negative-Bacteria.aspx.

  • MLA

    Stoakes, Shelley Farrar. "Gram Negative Bacteria". News-Medical. 17 January 2026. <https://appetitewellbeing.com/life-sciences/Gram-Negative-Bacteria.aspx>.

  • Chicago

    Stoakes, Shelley Farrar. "Gram Negative Bacteria". News-Medical. https://appetitewellbeing.com/life-sciences/Gram-Negative-Bacteria.aspx. (accessed January 17, 2026).

  • Harvard

    Stoakes, Shelley Farrar. 2018. Gram Negative Bacteria. News-Medical, viewed 17 January 2026, https://appetitewellbeing.com/life-sciences/Gram-Negative-Bacteria.aspx.

Comments

The opinions expressed here are the views of the writer and do not necessarily reflect the views and opinions of News Medical.
Post a new comment
Post

While we only use edited and approved content for Azthena answers, it may on occasions provide incorrect responses. Please confirm any data provided with the related suppliers or authors. We do not provide medical advice, if you search for medical information you must always consult a medical professional before acting on any information provided.

Your questions, but not your email details will be shared with OpenAI and retained for 30 days in accordance with their privacy principles.

Please do not ask questions that use sensitive or confidential information.

Read the full Terms & Conditions.

You might also like...
DTU researchers discover gut bacteria link to reduced allergy and asthma risk