What is the Epidermis?

The epidermis is the thin outer layer of the skin that is visible to the eye and works to protect the body. This part of the skin does not contain any blood vessels. It is, therefore, dependent on the dermis, which is the layer of the skin located directly underneath the epidermis, to provide access to nutrients and dispose of waste.

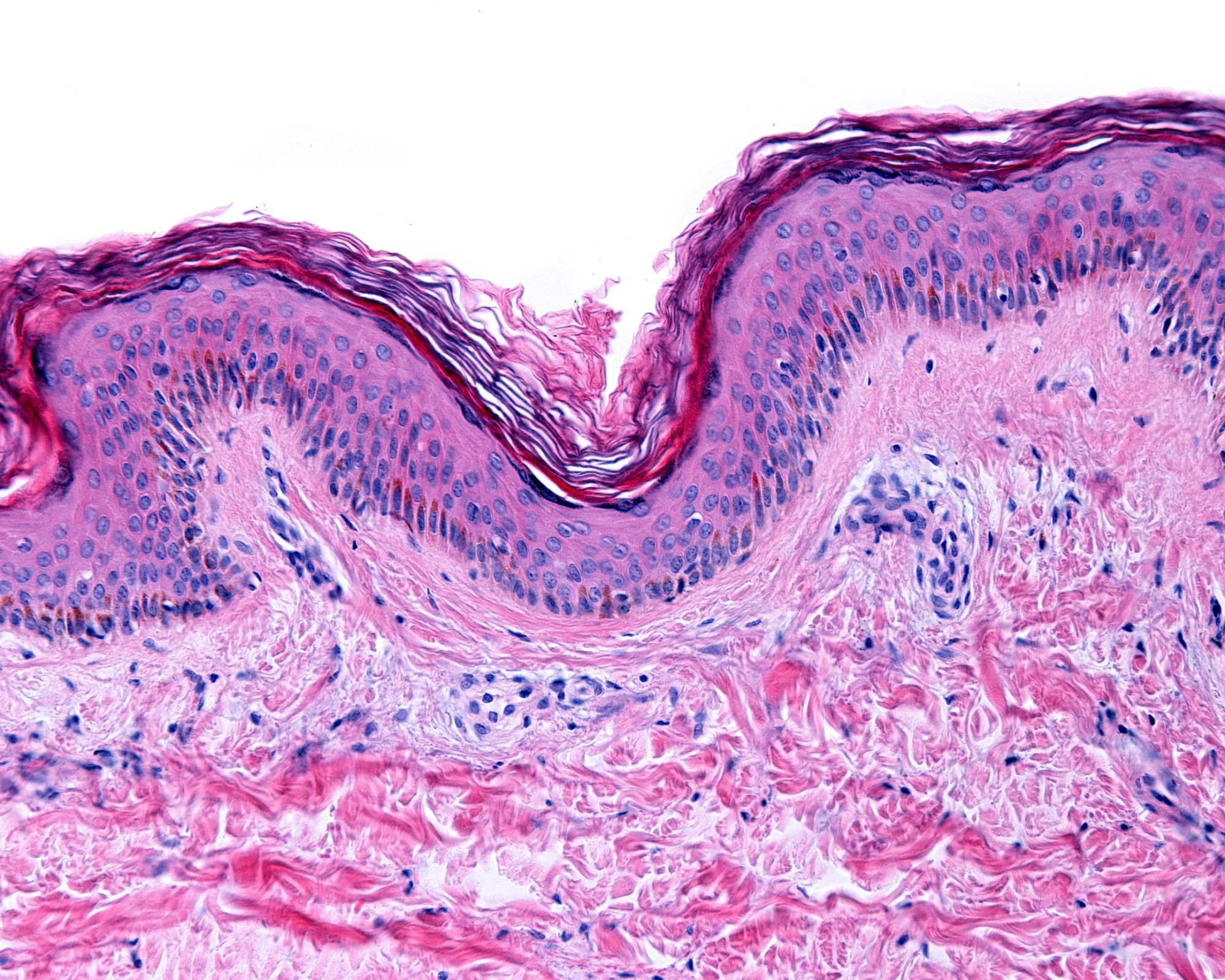
Thin skin showing the epidermis with its different strata, resting on the dermis. Image Credit: Jose Luis Calvo / Shutterstock.com

Thin skin showing the epidermis with its different strata, resting on the dermis. Image Credit: Jose Luis Calvo / Shutterstock.com

Cells in the epidermis

Keratinocytes

Keratinocytes are the most common type of cell in the epidermis and are responsible for synthesizing the protein keratin. These cells exist in progressive stages of differentiation from the deepest to the superficial layers of cells.

Moreover, keratinocytes originate from the basal layer, the deepest layer of the epidermis, and gradually move up to the outside layer of the epidermis. Here, keratinocytes are shed from the skin and replaced by new maturing cells.

Melanocytes

Melanocytes are another type of cell in the epidermis that are present throughout the basal layer. These cells are responsible for the production of melanin, which contributes to the skin color of the individual. Melanin also helps to protect the body from ultraviolet (UV) radiation present in sunlight, which can damage the DNA of the skin cells.

Langerhans cells

Langerhans cells produced in the bone marrow are also present in the epidermis and work to detect foreign substances and infections as part of the skin's immune system. These cells are also thought to be involved in the development of skin allergies.

Merkel cells

Merkel cells originate from neural crest cells and are responsible for the perception of gentle touch. These cells are present in the epidermis in specific areas of the skin, such as the nail beds and genitalia.

Structure

The epidermis consists of stratified squamous epithelial cells. There are four layers of the epidermis, according to the maturation of the cells:

  • Stratum germinativum
  • Stratum spinosum
  • Stratum granulosum
  • Stratum corneum

Cells of the epidermis and epidermal layers. The diagram depicts a cross-sectional view of the epidermis.​​​​​​​ Image Credit: Sakurra / Shutterstock.com

Cells of the epidermis and epidermal layers. The diagram depicts a cross-sectional view of the epidermis.​​​​​​​ Image Credit: Sakurra / Shutterstock.com

The stratum germinativum is the innermost layer, which adjoins the dermal layer of skin and is where the keratinocyte cells originate. Comparatively, the stratum corneum is the outermost layer, which is relatively waterproof and prevents the entry of bacteria, viruses, and other foreign substances into the body.

The thickness of the epidermis depends on the level of protection required for that area of the body. For example, the palms of the hands and the soles of the feet have a significantly thicker layer of keratin in the epidermis that can have a thickness of up to 2.3 millimeters (mm). This protects the body from the high impact to which these areas of the body are subject. In contrast, the thickness of the epidermis on the eyelids is approximately 0.05 mm thick.

Function

All layers of the skin, including the epidermis, are responsible for the protection of the body, including internal organs, muscles, nerves, and blood vessels. Additional roles of the epidermis include:

  • Production of new skin cells
  • Production of melanin to give color to the skin, as well as reduce the absorption and impact of UV radiation
  • Physical protection of the body
  • Immune protection of the body

Dependence on the dermis

As there is no direct blood supply to the epidermis, this outermost layer of the skin relies on the underlying dermis for the supply of nutrients and disposal of waste products. This occurs via a process of diffusion through the dermo-epidermal junction, which lies just below the stratum germinativum of the epidermis.

References

Further Reading

Last Updated: Feb 26, 2024

Article Revisions

  • Feb 27 2024 - Two article images replaced with larger versions to suit retina displays. General improvements to readability. Source links updated to MLA8 style format.
Yolanda Smith

Written by

Yolanda Smith

Yolanda graduated with a Bachelor of Pharmacy at the University of South Australia and has experience working in both Australia and Italy. She is passionate about how medicine, diet and lifestyle affect our health and enjoys helping people understand this. In her spare time she loves to explore the world and learn about new cultures and languages.

Citations

Please use one of the following formats to cite this article in your essay, paper or report:

  • APA

    Smith, Yolanda. (2024, February 26). What is the Epidermis?. News-Medical. Retrieved on January 17, 2026 from https://appetitewellbeing.com/health/What-is-the-Epidermis.aspx.

  • MLA

    Smith, Yolanda. "What is the Epidermis?". News-Medical. 17 January 2026. <https://appetitewellbeing.com/health/What-is-the-Epidermis.aspx>.

  • Chicago

    Smith, Yolanda. "What is the Epidermis?". News-Medical. https://appetitewellbeing.com/health/What-is-the-Epidermis.aspx. (accessed January 17, 2026).

  • Harvard

    Smith, Yolanda. 2024. What is the Epidermis?. News-Medical, viewed 17 January 2026, https://appetitewellbeing.com/health/What-is-the-Epidermis.aspx.

Comments

The opinions expressed here are the views of the writer and do not necessarily reflect the views and opinions of News Medical.
Post a new comment
Post

While we only use edited and approved content for Azthena answers, it may on occasions provide incorrect responses. Please confirm any data provided with the related suppliers or authors. We do not provide medical advice, if you search for medical information you must always consult a medical professional before acting on any information provided.

Your questions, but not your email details will be shared with OpenAI and retained for 30 days in accordance with their privacy principles.

Please do not ask questions that use sensitive or confidential information.

Read the full Terms & Conditions.

You might also like...
New skin-permeable polymer delivers insulin without needles