What is Viral Pneumonia?

Pneumonia is a type of lung infection caused by bacteria, viruses, and fungi. Viral pneumonia is caused by viruses and frequently occurs in young children and elderly people.

Infectious Pneumonia

Image Credit: Tomatheart/Shutterstock.com

What is viral pneumonia?

Viral pneumonia causes inflammation in the lungs, leading to abnormal exchange of oxygen and carbon dioxide in the alveoli. Viruses that are known to cause viral pneumonia include influenza A virus, parainfluenza virus, respiratory syncytial virus, human metapneumovirus, rhinovirus, coronavirus, adenovirus, enteroviruses, hantavirus, herpes virus, varicella-zoster virus, and measles virus (rubeola).  

Mechanistically, a virus mainly targets pneumocytes (a particular cell type in the alveoli) that are responsible for gaseous exchange in the lungs. The infection can occur through direct viral inoculation in the lungs, or due to the spreading of viral infection from the upper respiratory tract.

Also, a virus can be transmitted from a distant infection site to the lungs via systemic circulation.      

In the submucosa of the alveoli, the viral infection causes inflammation and initiates a cascade of cellular immune reactions, which ultimately result in increased vascular permeability and edema formation.

Who is more susceptible to viral pneumonia?

People with a weakened immune system, such as prematurely born babies, children with cardiopulmonary defects, HIV-positive patients, cancer patients receiving radiotherapy or chemotherapy, and organ transplant patients, are particularly susceptible to viral pneumonia.

Pregnant women are also more likely to be affected by influenza-related pneumonia. According to the Centers for Disease Control and Prevention (CDC) guidelines, healthy pregnant women should receive flu vaccines during the second and third trimesters of pregnancy. Another less common cause of pneumonia in pregnant women is varicella virus infection.

Certain health complications can increase the risk of viral pneumonia. These include trauma, severe burn injuries, and uncontrolled diabetes. In addition, poor nutritional status and environmental exposure are significant risk factors.

Pregnant Woman

Image Credit: Africa Studio/Shutterstock.com

What are the symptoms of viral pneumonia?

In general, the most common symptoms of pneumonia include cough, fever, shaking chills, shortness of breath, headache, sweating, sharp chest pain during coughing or deep breathing, rapid heart rate, loss of appetite, fatigue, nausea, and vomiting, and confusion.  

Although there are no specific signs and symptoms to distinguish viral pneumonia from bacterial pneumonia, a differential diagnosis of viral pneumonia is possible based on certain indications.

For example, the symptoms of viral pneumonia appear slowly over several days. Initially, the symptoms are more like influenza, which include headache, dry cough, fever with low temperature, muscle pain, and fatigue.

However, the symptoms can get worse within a couple of days, and patients may suffer from severe coughing, shortness of breath, high fever, and blueness of the lips.

How to diagnose viral pneumonia?

For diagnosing pneumonia, a physician will initially take the medical history, discuss the symptoms, and perform a physical examination. There are certain suggestive findings that a physician can evaluate to differentially diagnose viral pneumonia. These findings include:

  • Having a very rapid heart rate or breathing rate that is not in accordance with the body temperature
  • A mismatch between the rise in body temperature and level of fatigue
  • A concomitant presence of upper respiratory tract infection

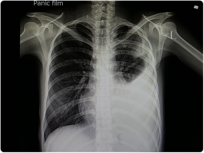
If pneumonia is suspected, a physician may ask for additional tests, including chest x-ray, chest CT scan, complete blood count, blood culture, swab test, open lung biopsy, sputum culture, and blood gas test.

An X-ray or CT scan of the chest is usually done to visualize the location and severity of the inflammation in the lungs. In a chest x-ray, certain characteristics that can be used to differentially diagnose viral pneumonia include interstitial infiltrates, bilateral infiltrates, and patchy distribution of interstitial infiltrates. Moreover, thin-section thoracic CT is particularly important for detecting specific features of viral pneumonia.   

A blood culture test can be used to detect the causative virus in the blood; similarly, a nasal or throat swab test is done to look for viruses.

For the accurate diagnosis of viral pneumonia, rapid antigen tests (ELISA tests) are very effective. However, the main drawback is that an ELISA test can detect several viruses at the same time, and the presence of a virus not necessarily confirms an active disease state.

A gene amplification test via polymerase chain reaction (PCR) is another direct approach to diagnose viral pneumonia. Also, viral culture and viral antigen serology are two very accurate diagnostic methods for viral pneumonia.

Chest X-Ray

Image Credit: create jobs 51/Shutterstock.com

How to treat viral pneumonia?

Viral pneumonia cannot be treated with antibiotics. Certain antiviral medicines may be used, especially for pneumonia caused by the influenza virus and herpes virus.

The golden standard for treating viral pneumonia patients is to maintain the oxygen saturation level in the blood through oxygen supplementation. It is also important to keep the patient properly hydrated via oral or intravenous fluid administration.

A viral pneumonia patient should take adequate rest to reduce oxygen demand. Also, calorie intake should be sufficient enough to meet the increased respiratory effort.   

References

Further Reading

Last Updated: Feb 25, 2021

Dr. Sanchari Sinha Dutta

Written by

Dr. Sanchari Sinha Dutta

Dr. Sanchari Sinha Dutta is a science communicator who believes in spreading the power of science in every corner of the world. She has a Bachelor of Science (B.Sc.) degree and a Master's of Science (M.Sc.) in biology and human physiology. Following her Master's degree, Sanchari went on to study a Ph.D. in human physiology. She has authored more than 10 original research articles, all of which have been published in world renowned international journals.

Citations

Please use one of the following formats to cite this article in your essay, paper or report:

  • APA

    Dutta, Sanchari Sinha Dutta. (2021, February 25). What is Viral Pneumonia?. News-Medical. Retrieved on January 16, 2026 from https://appetitewellbeing.com/health/What-is-Viral-Pneumonia.aspx.

  • MLA

    Dutta, Sanchari Sinha Dutta. "What is Viral Pneumonia?". News-Medical. 16 January 2026. <https://appetitewellbeing.com/health/What-is-Viral-Pneumonia.aspx>.

  • Chicago

    Dutta, Sanchari Sinha Dutta. "What is Viral Pneumonia?". News-Medical. https://appetitewellbeing.com/health/What-is-Viral-Pneumonia.aspx. (accessed January 16, 2026).

  • Harvard

    Dutta, Sanchari Sinha Dutta. 2021. What is Viral Pneumonia?. News-Medical, viewed 16 January 2026, https://appetitewellbeing.com/health/What-is-Viral-Pneumonia.aspx.

Comments

  1. Brooke Ronan Brooke Ronan United States says:

    Very helpful article. Well written and gave me all of the information I needed

The opinions expressed here are the views of the writer and do not necessarily reflect the views and opinions of News Medical.
Post a new comment
Post

While we only use edited and approved content for Azthena answers, it may on occasions provide incorrect responses. Please confirm any data provided with the related suppliers or authors. We do not provide medical advice, if you search for medical information you must always consult a medical professional before acting on any information provided.

Your questions, but not your email details will be shared with OpenAI and retained for 30 days in accordance with their privacy principles.

Please do not ask questions that use sensitive or confidential information.

Read the full Terms & Conditions.

You might also like...
New data show COVID-19 triggers spike in new diabetes cases