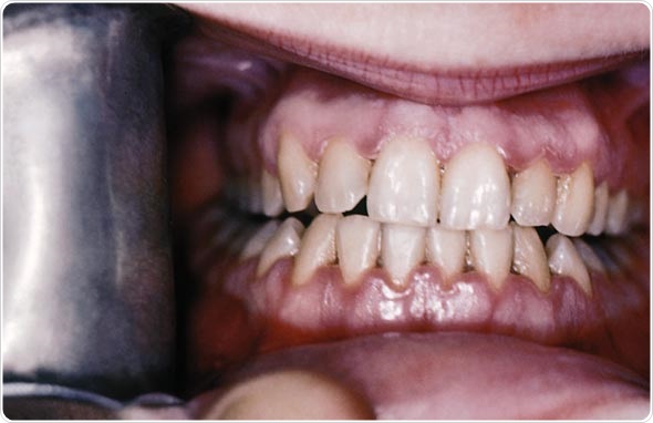
What is Gingivitis?

The term gingivitis refers to inflammation and infection of the gums. It is also termed non-destructive periodontal disease.

In cases of periodontitis, the gums, the tissues connecting the tooth to the tooth socket (called the periodontal ligament) and the jaw bone containing the sockets of the teeth (called the alveolar bone) are affected. Gingivitis is an earlier and less severe form of periodontitis.

Gingivitis is one of the most common dental problems worldwide, with around 15 to 20% of the world population suffering from it at some point in their lives.

Causes and pathology of gingivitis

Gingivitis is commonly a result of dental plaque developing. Dental plaque is a sticky, thin and colorless biofilm of bacteria and food particles that forms over the teeth.

The plaque sticks to the surfaces of the teeth and gums and the bacteria break down sugars or carbohydrate to produce the energy they need but at the same time produce acid. This acid then erodes the teeth and damages the gums.

Plaque-induced gingivitis is one of the commonest forms of gingivitis.

Complications of gingivitis

If left untreated, gingivitis may progress to the more severe periodontitis. Gum disease can also lead to tooth loss, gum inflammation, abscesses in the jaw bones or gums, and trench mouth.

Trench mouth causes severe bacterial infection of the gums along with the formation of ulcers.

Symptoms

Toothache and gum swelling and pain are common symptoms. Gums may be red, tender to touch and recessing at the lower ends of the teeth. Teeth may also bleed on brushing.

Diagnosis and treatment

Diagnosing the organism causing the infection can be established using culture and microscopic examination. In the early stages, treatment is easier and more likely to save the tooth than when treatment is initiated at later stages of disease.

Mild cases of gum disease can be corrected by improving oral hygiene by brushing and flossing regularly and having the plaque removed by a dental surgeon.

Severe gum disease may require treatment with antibiotics. Medication and sometimes surgery may be needed to treat advanced cases of gingivitis.

Sources

  1. http://www.nhs.uk/conditions/Gum-disease/Pages/Introduction.aspx
  2. https://twin-cities.umn.edu/
  3. http://www.tacoma.washington.edu/studentaffairs/SHW/documents/Health%20topics/Gingivitis.pdf
  4. https://www.healthinfotranslations.org/

Further Reading

Last Updated: Jun 10, 2023

Dr. Ananya Mandal

Written by

Dr. Ananya Mandal

Dr. Ananya Mandal is a doctor by profession, lecturer by vocation and a medical writer by passion. She specialized in Clinical Pharmacology after her bachelor's (MBBS). For her, health communication is not just writing complicated reviews for professionals but making medical knowledge understandable and available to the general public as well.

Citations

Please use one of the following formats to cite this article in your essay, paper or report:

  • APA

    Mandal, Ananya. (2023, June 10). What is Gingivitis?. News-Medical. Retrieved on January 17, 2026 from https://appetitewellbeing.com/health/What-is-Gingivitis.aspx.

  • MLA

    Mandal, Ananya. "What is Gingivitis?". News-Medical. 17 January 2026. <https://appetitewellbeing.com/health/What-is-Gingivitis.aspx>.

  • Chicago

    Mandal, Ananya. "What is Gingivitis?". News-Medical. https://appetitewellbeing.com/health/What-is-Gingivitis.aspx. (accessed January 17, 2026).

  • Harvard

    Mandal, Ananya. 2023. What is Gingivitis?. News-Medical, viewed 17 January 2026, https://appetitewellbeing.com/health/What-is-Gingivitis.aspx.

Comments

The opinions expressed here are the views of the writer and do not necessarily reflect the views and opinions of News Medical.
Post a new comment
Post

While we only use edited and approved content for Azthena answers, it may on occasions provide incorrect responses. Please confirm any data provided with the related suppliers or authors. We do not provide medical advice, if you search for medical information you must always consult a medical professional before acting on any information provided.

Your questions, but not your email details will be shared with OpenAI and retained for 30 days in accordance with their privacy principles.

Please do not ask questions that use sensitive or confidential information.

Read the full Terms & Conditions.