Sarcoidosis Prognosis

The prognosis for patients with sarcoidosis is relatively positive and it is not usually fatal, with the overall death rate remaining less than 5% without treatment.

In fact, most individuals do not require treatment at all as their symptoms do not significantly inhibit daily life activities and will improve spontaneously within two to five years. However, approximately 1 in 3 people will require treatment and certain complications can lead to vast changes in the prognosis of the condition.

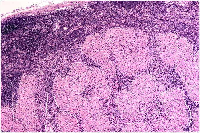
Micrograph of an enlarged lymph node showing non-caseating granulomas of sarcoidosis. Image Credit: David A Litman / Shutterstock
Micrograph of an enlarged lymph node showing non-caseating granulomas of sarcoidosis. Image Credit: David A Litman / Shutterstock

Initial Chest Radiography Stage

Several scientific studies have demonstrated a link between the initial chest radiography stage and the likelihood of survival and symptom improvement.

One study followed patients with sarcoidosis over seven years to observe the prognosis of different stages of the disease, based on the initial chest radiography. Of those patients classed as Stage I, 95% were asymptomatic after five years, and there were no fatal cases. Of those with Stage II, approximately half were asymptomatic after five years and 11% were fatal. Of those with Stage III involvement of the lungs, 1 in 4 had no symptoms after five years and was fatal in 18% of cases.

Causes of Death

The most common causes of death associated with sarcoidosis are due to damage to major organs, such as the lungs and the heart.

Involvement of the lungs in sarcoidosis is particularly problematic and can lead to internal bleeding and scarring of the lung tissue. Over the short term, this produces symptoms such as shortness of breath, but lead to pulmonary hypertension and prove to be fatal due to respiratory failure in some cases.

Secondary to the lungs, heart failure is the next most common cause of death. They can occur due to the growth of nodules in the heart tissue or as a result of changes in the shape of the lungs that protrude on the heart, changing its ability to function as normal.

There are other possible causes of death, which depend on the location of the granulomas in the body. For example, if they are situated in certain parts of the nervous system or brain, they could result in seizures have the potential to lead to death. Likewise, other organs like the kidney, spleen, and lungs can be affected and may be fatal in severe cases, although this is rare.

Protective and Risk Factors

Several factors are associated with a better or worse prognosis of sarcoidosis, as they are indicative of the severity of the disease.

Risk factors for a poorer prognosis include:

  • Slow progression of the disease
  • Involvement of lungs, heart, and nervous tissue
  • Late-stage initial chest radiography
  • Symptoms of respiratory involvement

Protective factors include:

  • Sudden presentation of symptoms
  • Erythema nodosum skin rash
  • Only lymph node enlargement evident on chest X-ray
  • Absence of respiratory symptoms

Most people with sarcoidosis are able to live relatively normal lives and generally experience good health, with many people becoming asymptomatic after several years. The protective and risk factors are useful to understand which patients are at risk of severe complications and need to be monitored to prolong good health.

References

Further Reading

Last Updated: Feb 16, 2021

Susan Chow

Written by

Susan Chow

Susan holds a Ph.D in cell and molecular biology from Dartmouth College in the United States and is also a certified editor in the life sciences (ELS). She worked in a diabetes research lab for many years before becoming a medical and scientific writer. Susan loves to write about all aspects of science and medicine but is particularly passionate about sharing advances in cancer therapies. Outside of work, Susan enjoys reading, spending time at the lake, and watching her sons play sports.

Citations

Please use one of the following formats to cite this article in your essay, paper or report:

  • APA

    Chow, Susan. (2021, February 16). Sarcoidosis Prognosis. News-Medical. Retrieved on January 17, 2026 from https://appetitewellbeing.com/health/Sarcoidosis-Prognosis.aspx.

  • MLA

    Chow, Susan. "Sarcoidosis Prognosis". News-Medical. 17 January 2026. <https://appetitewellbeing.com/health/Sarcoidosis-Prognosis.aspx>.

  • Chicago

    Chow, Susan. "Sarcoidosis Prognosis". News-Medical. https://appetitewellbeing.com/health/Sarcoidosis-Prognosis.aspx. (accessed January 17, 2026).

  • Harvard

    Chow, Susan. 2021. Sarcoidosis Prognosis. News-Medical, viewed 17 January 2026, https://appetitewellbeing.com/health/Sarcoidosis-Prognosis.aspx.

Comments

The opinions expressed here are the views of the writer and do not necessarily reflect the views and opinions of News Medical.
Post a new comment
Post

While we only use edited and approved content for Azthena answers, it may on occasions provide incorrect responses. Please confirm any data provided with the related suppliers or authors. We do not provide medical advice, if you search for medical information you must always consult a medical professional before acting on any information provided.

Your questions, but not your email details will be shared with OpenAI and retained for 30 days in accordance with their privacy principles.

Please do not ask questions that use sensitive or confidential information.

Read the full Terms & Conditions.