Rickets Treatments

Rickets is a disease characterized by bone deformities, enlargement of the wrists and costochondral junctions, decreased muscle tone and, in infants, craniotabes and delayed closure of the fontanelle. Predominantly caused by severe vitamin D deficiency, rickets can also be associated with serious symptoms such as hypocalcemic seizures and cardiac failure.

The main objective of any therapeutical approach is to correct the clinical, biochemical and radiological findings. Treatment outcomes depend on early recognition, early treatment, but also treatment of the underlying disease entity, with a close follow-up until full recovery. Ideally, rickets should be addressed by a community intervention, impacting all areas of life.

ricketsImage Credit: Bunsinth-Nan-Pua/Shutterstock.com

Management of rickets

Vitamin D and supplements of calcium and phosphorus are used for the treatment nutritional rickets. The mainstay of treatment for children with this disease is to correct vitamin D deficiency and to ensure adequate calcium intake. Hence various vitamin D preparations, dosages, dosing schedules and administration routes are available for that purpose.

The physician should determine the best treatment strategy for each patient on an individual, case-by-case basis. A single oral or intramuscular dose of various strengths (between 200,000 and 600,00 IU) of vitamin D in patients as young as three months has been studied and found to be adequate treatment for nutritional rickets. Hypercalcemia is more likely with oral doses greater than 300,000 IU.

Calcitriol is often useful in vitamin D deficiency with hypocalcaemia until calcium levels are normalized. It also represents a recommended approach for type I vitamin D-deficient rickets, type II vitamin D-resistant rickets and familial or X-linked hypophosphataemic rickets.

As soon as such medical treatment has resulted in the correction of biologically-active rickets (characterized by normal levels of alkaline phosphatase levels and radiology results), the focus of treatment should shift to the restoration of deformed extremities to functional alignment.

With ongoing mineralization and weight-bearing, even severe deformities can improve. Nevertheless, beading of ribs and widening of wrists can persist even after adequate medical treatment. Some clinical investigators suggest that braces be applied to support the limbs and to encourage straighter longitudinal growth.

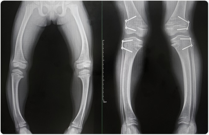
Surgical treatments are generally indicated for severe extremity deformities due to impaired bone growth and fractures due to bone fragility in patients with rickets. Corrective osteotomy and fixation with external fixators, intramedullary nails, Kirshner's wires, plates and casting (including epiphysiodesis) is performed in such cases.

ricketsImage Credit: Double Brain/Shutterstock.com

Prevention of rickets

Compared to the treatment of affected children, prevention of the disease in the first place is clearly a better approach for children, desirable step for communities, and possibly less expensive for society as a whole. Thus it is essential to identify the appropriate target population and their nutritional needs before preventive interventions against rickets can ensue.

Based on the known epidemiology of the resurgence of vitamin D-deficient rickets in the United States, the appropriate approach would presently be to increase supply of vitamin D to exclusively-breastfed infants with darkly-pigmented skin, but also to their mothers during pregnancy.

In African countries, infants and young children who suffer from calcium insufficiency represent suitable targets for preventative actions. In India, there is evidence that young children need more calcium, whereas pubertal girls are at the highest risk of vitamin D-deficiency rickets (feasibly due to cultural habits which limit exposure to sunlight).

One of the most important steps is to identify the appropriate dose of preventive products. For vitamin D, children should receive the equivalent of 200–400 IU per day to prevent rickets. An alternative approach in temperate climate is the exposure of the face and head to approximately 60 minutes of sunshine per week.

References

Further Reading

Last Updated: Feb 23, 2023

Dr. Tomislav Meštrović

Written by

Dr. Tomislav Meštrović

Dr. Tomislav Meštrović is a medical doctor (MD) with a Ph.D. in biomedical and health sciences, specialist in the field of clinical microbiology, and an Assistant Professor at Croatia's youngest university - University North. In addition to his interest in clinical, research and lecturing activities, his immense passion for medical writing and scientific communication goes back to his student days. He enjoys contributing back to the community. In his spare time, Tomislav is a movie buff and an avid traveler.

Citations

Please use one of the following formats to cite this article in your essay, paper or report:

  • APA

    Meštrović, Tomislav. (2023, February 23). Rickets Treatments. News-Medical. Retrieved on January 17, 2026 from https://appetitewellbeing.com/health/Rickets-Treatments.aspx.

  • MLA

    Meštrović, Tomislav. "Rickets Treatments". News-Medical. 17 January 2026. <https://appetitewellbeing.com/health/Rickets-Treatments.aspx>.

  • Chicago

    Meštrović, Tomislav. "Rickets Treatments". News-Medical. https://appetitewellbeing.com/health/Rickets-Treatments.aspx. (accessed January 17, 2026).

  • Harvard

    Meštrović, Tomislav. 2023. Rickets Treatments. News-Medical, viewed 17 January 2026, https://appetitewellbeing.com/health/Rickets-Treatments.aspx.

Comments

The opinions expressed here are the views of the writer and do not necessarily reflect the views and opinions of News Medical.
Post a new comment
Post

While we only use edited and approved content for Azthena answers, it may on occasions provide incorrect responses. Please confirm any data provided with the related suppliers or authors. We do not provide medical advice, if you search for medical information you must always consult a medical professional before acting on any information provided.

Your questions, but not your email details will be shared with OpenAI and retained for 30 days in accordance with their privacy principles.

Please do not ask questions that use sensitive or confidential information.

Read the full Terms & Conditions.

You might also like...
Genetic variants influencing vitamin D synthesis, metabolism, and transport