Metastatic Melanoma

Melanoma is a type of skin cancer. When melanoma spreads to other parts of the body, it’s called metastatic melanoma, or stage IV melanoma. Some common sites for metastatic melanoma are the liver, lungs, bones, and brain.

Melanoma is a cancer of pigment-producing cells, melanocytes found in the skin, mucosa, and eyes. Melanoma results from DNA damage to skin cells, usually caused by exposure to ultraviolet rays from the sun or a tanning bed. The damage causes mutations that make the cells multiply rapidly, forming malignant tumors.

Melanomas are usually black or brown in color, and often resemble moles. They can also be skin-colored, red, bluish, or white. Melanoma is the most dangerous type of skin cancer.

The 4 Stages of Melanoma: The Deadliest Form of Skin Cancer - Mayo Clinic

Metastasis

Melanoma can spread to other tissues and organs of the body, including the lungs, liver, or the brain. Metastatic melanoma can fall into one of three categories: local recurrence, in transit metastasis, and nodal metastasis.

A local recurrence of melanoma is within 2 cm of the primary melanoma. It can occur by spread through the lymphatic vessels, or as an extension of the primary cancer. Metastases in transit are those found in the lymphatic vessels more than 2 cm from the primary site. Nodal metastasis is defined as melanoma that has spread to the lymph nodes.

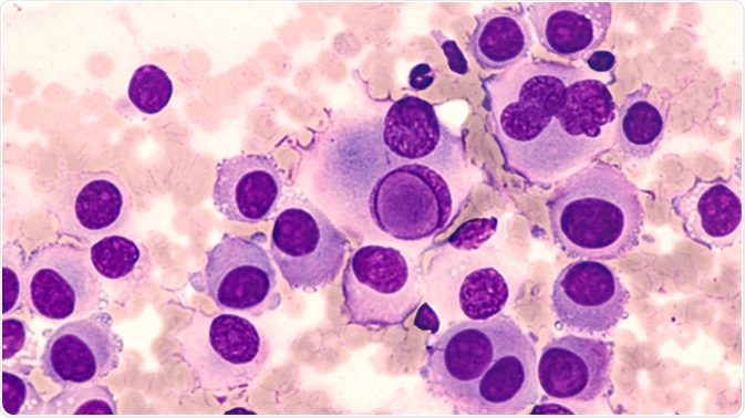
Fine needle aspirate cytology of metastatic melanoma, with large malignant cells. In the center of this photomicrograph is an
Fine needle aspirate cytology of metastatic melanoma, with large malignant cells. In the center of this photomicrograph is an "intranuclear inclusion" a feature often associated with melanomas. Image Credit: David Litman / Shutterstock

Additionally, melanoma can be spread through the blood circulatory system. That occurs when a tumor invades a nearby blood vessel or it can be secondary to lymph node involvement. Melanoma can travel to distant sites in the body through the blood. This is called hematogenous spread of melanoma. Some common sites for metastatic melanoma are the lungs, skin, liver, and brain. Metastases can also form in the bone, gastrointestinal tract, heart, pancreas, kidneys, spleen, thyroid, and adrenal glands.

Some other rare presentations of melanoma include diffuse melanosis cutis and melanoma-associated vitiligo. In diffuse melanosis cutis, metastatic melanoma causes the entire skin surface to change color. Melanoma-associated vitiligo, also called melanoma-associated leukoderma, is a loss of pigment of the skin, resembling vitiligo, due to metastatic melanoma. Drugs that treat metastatic melanoma like immune checkpoint inhibitors and BRAF inhibitors can also cause melanoma-associated vitiligo.

Diagnosis

Metastatic melanoma is diagnosed based on skin lesions and other signs such as enlarged lymph nodes. Symptoms of melanoma may include:

  1. fatigue
  2. weight loss
  3. loss of appetite
  4. difficulty breathing
  5. bone pain
  6. headaches
  7. seizures
  8. swelling of the liver

Tests used to diagnose metastatic melanoma include:

  1. biopsy
  2. blood tests
  3. chest x-ray
  4. ultrasound
  5. CT scan
  6. MRI
  7. positron emission tomography (PET) scanning

Treatments

Metastatic melanoma may be treated as follows:

  1. Surgery - Surgical removal of the lesion, when possible, is often recommended, especially when there is a solitary metastasis of the skin in subcutaneous tissue or a lymph node. Surgery can provide relief from symptoms and improve quality of life, even if there is no chance of curing the disease.
  2. Chemotherapy - Chemotherapy makes use of specific anti-cancer drugs alone or in combination.
  3. Electrochemotherapy - Electrochemotherapy uses electrical currents to enhance treatment with chemotherapeutic agents.
  4. Adjuvant therapy - Infusion of an immunostimulant can improve survival when given with other treatments. However, the side effects can be serious, or even fatal.
  5. Radiation therapy - Radiation has long been used to target cancer.
  6. Immunotherapy - Immunotherapy agents are a new class of treatments for cancer that have been shown to improve outcomes in metastatic melanoma.
  7. Topical medication - A topical solution or cream may be prescribed for small cutaneous melanoma metastases.
  8. Palliative care - Treatment focusing on comfort is available when curative treatment is no longer desired.

Prognosis

The risk of death from metastatic melanoma varies greatly by the location of the metastasis. Probability of death from a brain metastasis is twice that of a patient with digestive metastasis, and 7 fold greater than that of a patient with lung metastasis.

Sources

  1. Melanoma Research Foundation, Metastatic melanoma, www.melanoma.org/.../metastatic-melanoma
  2. DermNet New Zealand, Metastatic melanoma, https://www.dermnetnz.org/topics/metastatic-melanoma/
  3. Cancer Treatment Centers of America, http://www.cancercenter.com/melanoma/types/tab/metastatic-melanoma/
  4. Journal of Medicine and Life, Survival rates of patients with metastatic malignant melanoma, https://www.ncbi.nlm.nih.gov/pmc/articles/PMC4316142/
  5. Skin Cancer Foundation, Treatment of metastatic melanoma: a new world opens, www.skincancer.org/.../treatment-of-metastatic-melanoma

Further Reading

Last Updated: Feb 27, 2019

Dr. Catherine Shaffer

Written by

Dr. Catherine Shaffer

Catherine Shaffer is a freelance science and health writer from Michigan. She has written for a wide variety of trade and consumer publications on life sciences topics, particularly in the area of drug discovery and development. She holds a Ph.D. in Biological Chemistry and began her career as a laboratory researcher before transitioning to science writing. She also writes and publishes fiction, and in her free time enjoys yoga, biking, and taking care of her pets.

Citations

Please use one of the following formats to cite this article in your essay, paper or report:

  • APA

    Shaffer, Catherine. (2019, February 27). Metastatic Melanoma. News-Medical. Retrieved on January 17, 2026 from https://appetitewellbeing.com/health/Metastatic-Melanoma.aspx.

  • MLA

    Shaffer, Catherine. "Metastatic Melanoma". News-Medical. 17 January 2026. <https://appetitewellbeing.com/health/Metastatic-Melanoma.aspx>.

  • Chicago

    Shaffer, Catherine. "Metastatic Melanoma". News-Medical. https://appetitewellbeing.com/health/Metastatic-Melanoma.aspx. (accessed January 17, 2026).

  • Harvard

    Shaffer, Catherine. 2019. Metastatic Melanoma. News-Medical, viewed 17 January 2026, https://appetitewellbeing.com/health/Metastatic-Melanoma.aspx.

Comments

The opinions expressed here are the views of the writer and do not necessarily reflect the views and opinions of News Medical.

While we only use edited and approved content for Azthena answers, it may on occasions provide incorrect responses. Please confirm any data provided with the related suppliers or authors. We do not provide medical advice, if you search for medical information you must always consult a medical professional before acting on any information provided.

Your questions, but not your email details will be shared with OpenAI and retained for 30 days in accordance with their privacy principles.

Please do not ask questions that use sensitive or confidential information.

Read the full Terms & Conditions.

You might also like...
Indoor tanning loads normal skin with mutations linked to melanoma