Goodpasture Syndrome

Goodpasture syndrome is a condition characterized by renal and pulmonary symptoms due to the presence of anti-GBM antibodies.

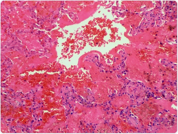
Goodpastures syndrome is a rare autoimmune disease in which antibodies attack the lungs and kidneys. Bleeding lung tissue is shown here. Magnification 200x - Image Copyright: Jubal Harshaw / Shutterstock
Goodpastures syndrome is a rare autoimmune disease in which antibodies attack the lungs and kidneys. Bleeding lung tissue is shown here. Magnification 200x - Image Copyright: Jubal Harshaw / Shutterstock

Symptoms

Goodpasture syndrome is first manifested as non-specific fatigue, nausea and vomiting, and a feeling of weakness. Patients may also report loss of appetite.

This may be followed, sometimes very rapidly, by pulmonary manifestations. These may precede or occur simultaneously with renal involvement, and include breathlessness, coughing and hemoptysis.

Hemoptysis used to occur in almost 70% of patients, and only in smokers. It often presented months or years before any symptom or sign of kidney disease arises. The falling prevalence of smoking may be responsible for the declining frequency of this manifestation of Goodpasture syndrome. However, chest infection or fluid overload can also precipitate pulmonary hemorrhage and hemoptysis. It may range from episodes of mild bleeding to catastrophic hemorrhage. It is the primary cause of death in the early phase of the illness.

Renal symptoms include:

  • Hematuria
  • Foamy urine
  • A burning sensation during urination
  • Rapidly developing pallor
  • Edema of the legs or other areas of the body
  • Hypertension
  • Sudden onset of oliguria or anuria in some patients

Goodpasture syndrome may develop quickly over days or weeks and even  insidiously in some cases.

Diagnosis

The diagnosis of Goodpasture syndrome may involve the following tests, based on the signs and symptoms:

Urine Testing

A urine sample is collected in a special container and analyzed for the presence of protein, blood, and bacterial growth through culture, if indicated - this may be done by dipstick testing. The presence of damaged red cells or of significant proteinuria indicates renal damage. Other findings include the presence of white cells, granular casts and red cell casts.

Blood Testing

As in all cases where autoimmune disease is suspected, the first screening will include:

  • Full blood count
  • A metabolic panel to rule out other causes of kidney damage
  • Markers of acute inflammation such as CRP
  • HLA typing
  • Serologic tests for antinuclear antibodies, antiDNA antibodies, cryoglobulins, ANCA and anti-GBM antibodies

Besides specific anti-GBM antibodies, ANCA testing is also positive in many patients, especially anti-myeloperoxidase (MPO) or p-ANCA antibodies.

Chest X-rays

Pulmonary symptoms are evaluated by a chest X-ray used to visualize any lung abnormalities.

Renal Biopsy

A renal biopsy involves removing a small sample of tissue from the kidney for microscopic evaluation to assess the presence, extent and type of abnormalities in the tissue. This can pinpoint the type of lesion, confirm the diagnosis and guide the prognosis. Biopsy is guided by ultrasound imaging or CT imaging and is performed under local anesthesia. Typical crescentic areas of glomerular proliferation are seen in more than half of the glomeruli. Immunofluorescent (IF) staining of the tissue shows the classical lines of antibody deposited on the GBM.

An important proviso in the diagnosis of Goodpasture syndrome is that it is based upon the typical signs and symptoms of pulmonary and renal damage, in association with markedly raised levels of a specific autoantibody. A demonstration of serological positivity is not enough in the absence of clinical features of the disease. This is because even healthy individuals may show the presence of autoantibodies, as may others who have non-immune disease.

Demonstration of Autoantibody to the GP Autoantigen

The autoantigen specific to Goodpasture syndrome is the NC1 domain of the alpha-3 chain of the type IV collagen that makes up the basement membrane of the glomeruli and the pulmonary alveoli. ELISA or IF are used to detect the presence of anti-GBM autoantibodies. Western blotting is used to resolve doubts in higher centers.

However, anti-GBM antibodies in serum may be absent if the only clinical feature is diffuse alveolar hemorrhage. In such patients, immunofluorescence of lung tissue will show the presence of the characteristic IgG deposits on the basement membrane of the alveoli. In a few patients, IgA or IgM is found instead.

References

Further Reading

Last Updated: Jan 2, 2023

Dr. Liji Thomas

Written by

Dr. Liji Thomas

Dr. Liji Thomas is an OB-GYN, who graduated from the Government Medical College, University of Calicut, Kerala, in 2001. Liji practiced as a full-time consultant in obstetrics/gynecology in a private hospital for a few years following her graduation. She has counseled hundreds of patients facing issues from pregnancy-related problems and infertility, and has been in charge of over 2,000 deliveries, striving always to achieve a normal delivery rather than operative.

Citations

Please use one of the following formats to cite this article in your essay, paper or report:

  • APA

    Thomas, Liji. (2023, January 02). Goodpasture Syndrome. News-Medical. Retrieved on January 17, 2026 from https://appetitewellbeing.com/health/Goodpasture-Syndrome.aspx.

  • MLA

    Thomas, Liji. "Goodpasture Syndrome". News-Medical. 17 January 2026. <https://appetitewellbeing.com/health/Goodpasture-Syndrome.aspx>.

  • Chicago

    Thomas, Liji. "Goodpasture Syndrome". News-Medical. https://appetitewellbeing.com/health/Goodpasture-Syndrome.aspx. (accessed January 17, 2026).

  • Harvard

    Thomas, Liji. 2023. Goodpasture Syndrome. News-Medical, viewed 17 January 2026, https://appetitewellbeing.com/health/Goodpasture-Syndrome.aspx.

Comments

The opinions expressed here are the views of the writer and do not necessarily reflect the views and opinions of News Medical.
Post a new comment
Post

While we only use edited and approved content for Azthena answers, it may on occasions provide incorrect responses. Please confirm any data provided with the related suppliers or authors. We do not provide medical advice, if you search for medical information you must always consult a medical professional before acting on any information provided.

Your questions, but not your email details will be shared with OpenAI and retained for 30 days in accordance with their privacy principles.

Please do not ask questions that use sensitive or confidential information.

Read the full Terms & Conditions.