The IL-4/IL-13 signaling pathways include IL13RA1, IL13RA2, and IL4R subunits, which are IL-13 receptors. They are connected to the pathophysiology and advancement of therapeutics for asthma, cancer and allergic diseases. IL13RA2 is being clinically tested as a possible cancer vaccination and CAR-T treatment target as a glioma-specific cell-surface epitope.

Functionally, there are two categories of IL-13 receptors: shared and private. IL13RA1 and IL4R make up the common IL-13 receptor. Additionally, IL-13 may bind to the exclusive IL-13 receptor IL13RA2. The main IL13-binding component of the IL-13 receptors is IL13RA1. By functioning as a decoy receptor with a greater affinity, IL13RA2 may inhibit IL-13-induced STAT6 activation.

By triggering AP-1 signaling and the synthesis of TGF beta, TNF-alpha and IL-13 signaling may cause the overexpression of IL-13RA2, which can have pro-fibrotic consequences. In order to facilitate IL-4 signaling, IL-4R can additionally complex with the common gamma chain (γc/IL2RG).

To support the study of IL-13 Receptors in understanding the immune response to neoplastic and inflammatory illnesses, Sino Biological has created a variety of high-quality proteins, antibodies, genes, lysate, and qPCR primer pairs.

Features of recombinant IL-13 receptors

  • High activity, high purity
  • Various species: Human, mouse, canine, rat, and cynomolgus

Features of antibodies targeting IL-13 receptors

  • Rabbit MAb and PAb, mouse MAb
  • Multiple applications: Validated in neutralization, ELISA, WB, IF, and ICC

Recombinant IL-13 and receptor proteins

Sino Biological has created high-quality recombinant IL-13 receptor proteins from a variety of species, including cynomolgus, canine, human, mouse, and rat.

Features IL-13 and receptors

Human IL-13 protein

Cat#: 10369-HNAC

Recombinant IL-13 receptors for inflammatory diseases and cancer

Cell proliferation assay using TF1 human erythroleukemic cells. Image Credit: Sino Biological Inc.

Cynomolgus IL4R protein

Cat#: 90897-C02H

Recombinant IL-13 receptors for inflammatory diseases and cancer

Ability to inhibit IL-4 dependent proliferation of TF-1 human erthroleukemic cells. Image Credit: Sino Biological Inc.

Recombinant IL-13 receptors for inflammatory diseases and cancer

Immobilized Human IL4 (Cat#: 11846-HNAE) can bind Cynomolgus IL4R Protein. Image Credit: Sino Biological Inc.

Cynomolgus IL13RA1 protein

Cat#: 90864-C08H

Recombinant IL-13 receptors for inflammatory diseases and cancer

Immobilized Human IL-13 Protein (Cat#: 10369-H01H) can bind Cynomolgus IL13RA1 Protein. Image Credit: Sino Biological Inc.

Mouse IL13RA2 protein

Cat#: 50061-M38H

Recombinant IL-13 receptors for inflammatory diseases and cancer

Immobilized mouse IL13RA2 can bind IL13/Biotin (Cat#: 10369-HNAC). Image Credit: Sino Biological Inc.

Recombinant IL-13 receptors for inflammatory diseases and cancer

Ability to inhibit mouse IL13-dependent proliferation of TF-1 human erythroleukemic cells. Image Credit: Sino Biological Inc.


Other related proteins

  • IL-4
  • IL2RG
  • TNF-alpha
  • TGF beta
  • STAT6
  • STAT1

Antibodies for IL-13 receptors

More than 50 different types of IL-13 receptor-targeting antibodies have been created by Sino Biological and may be used for neutralization, ELISA, WB, IF, and ICC.

Anti-IL-4R neutralizing rabbit MAb

Cat#: 10402-R001

Recombinant IL-13 receptors for inflammatory diseases and cancer

Proliferation elicited by Recombinant Human IL4 is neutralized by increasing concentrations of Human IL4R Monoclonal Antibody. Image Credit: Sino Biological Inc.

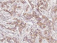
Anti-IL13RA1 rabbit Mab

Cat#: 310231-T08

Recombinant IL-13 receptors for inflammatory diseases and cancer

Immunochemical staining of human IL13RA1 in human breast carcinoma. Image Credit: Sino Biological Inc.

Anti-IL13RA2 rabbit Mab

Cat#: 10350-R018-A

Recombinant IL-13 receptors for inflammatory diseases and cancer

Flow cytometric analysis of Human IL13RA2 expression on A375 cells. Image Credit: Sino Biological Inc.

More antibodies targeting IL-13 receptors

  • Anti-IL4R
  • Anti-IL13RA1
  • Anti-IL13RA2

Other Equipment by this Supplier

While we only use edited and approved content for Azthena answers, it may on occasions provide incorrect responses. Please confirm any data provided with the related suppliers or authors. We do not provide medical advice, if you search for medical information you must always consult a medical professional before acting on any information provided.

Your questions, but not your email details will be shared with OpenAI and retained for 30 days in accordance with their privacy principles.

Please do not ask questions that use sensitive or confidential information.

Read the full Terms & Conditions.