The M-Series™ systems are self-shielded, high-performance MRI systems that use permanent magnet technology and do not require cryogen or cooling. The M-Series systems enable preclinical researchers, with or without extensive knowledge of MR physics, to use the gold standard method in soft tissue imaging without incurring the cost, complexity, or technical burden of superconducting MRI systems.

Mice, rats, similarly sized species/samples, and non-human primates' brains can all be imaged using varying-sized models. Permanent magnet technology eliminates additional infrastructure, reduces operating and maintenance expenses, and allows easy integration into existing lab spaces.

These 1 Tesla systems are designed for anatomical, functional, and molecular imaging applications in cancer, cardiac, neurology, and multimodal imaging. The optional SimPET insert is compatible with the M-Series and allows simultaneous PET/MRI capture.

M-Series high-performance MRI

Image Credit: Scintica Instrumentation Inc

There are no specific infrastructure needs, low operating and maintenance costs, and easy integration into existing lab space. These 1 Tesla systems are designed specifically for anatomical, functional, and molecular imaging applications in cancer, cardiac, neuroscience, and multimodal imaging.

The animal handling system uses simple, fully integrated anesthetic, warmth, and physiological monitoring devices to keep the animal stable throughout the imaging session.

M-Series high-performance MRI

Image Credit: Scintica Instrumentation Inc

The optional SimPET insert is compatible with the M-Series and allows for simultaneous PET/MRI acquisition.

MR contrast agents further enhance this imaging technique's capabilities, offering crucial information on molecular targets, myocardial infarction size, and tissue/tumor perfusion.

The M-Series product range is compatible with contrast agents based on gadolinium and iron oxide. Since they function at 1 Tesla (T), representing a greater sensitivity to the effects of gadolinium than higher-field MR systems, these systems are perfect for contrast agent imaging.

Features and benefits

The affordable and compact M-Series magnetic resonance imaging (MRI) equipment produces high-resolution 3D whole-body, anatomical, functional, and molecular images of small animals.

Self-shielded permanent magnet

Since the M-Series devices are permanent magnets, they can be placed adjacent to other furnishings or equipment in an existing laboratory or animal facility.

The citing alternatives are numerous and expenditures to change an existing space are minimal:

  • No Faraday cage or additional shielding is required to protect the magnet from the environment or the environment from the magnet because the system is self-shielded.
  • The system is self-shielded; therefore, no Faraday cage or additional shielding is required to protect the magnet from its surroundings or the surroundings from the magnet.
  • Permanent magnets do not generate heat to create the magnetic field. Therefore, there is no liquid (helium or water) cooling and the additional equipment and space necessary for this.
  • Only a single 220 V outlet is needed, and electricity is only used during imaging to power the fans, gradients, and other electronics.

The system's magnet and electronics can be positioned anywhere up to seven meters apart, giving users great flexibility.

Affordable purchase price for fully-equipped systems

MRI, the gold standard of soft tissue imaging, is now more accessible to preclinical researchers.

Fully integrated physiological monitoring, heating, and anesthesia

The coils are self-tuned and matched, and the system automatically calibrates.

The M-Series systems simplify the workflow from animal preparation to image acquisition by eliminating the need for time-consuming system calibration and set-up processes to ensure the imaging subject’s optimization with the coil and the rest of the system.

Real-time monitoring of the imaging subject ensures the animal’s stability during the imaging session.

Either the cardiac or respiratory signals can initiate image acquisition.

No electricity is required to maintain the magnetic field, so no heat dissipation (cryogens or water) is needed

The M-Series systems have low operating and maintenance expenses since they use a permanent magnet:

  • Maintaining the magnetic field does not involve a steady source of electricity
  • Since no heat is produced to produce the magnetic field, no extra equipment or upkeep of that equipment is needed (such as compressors and helium or water pumps)
  • The M-Series has minimum maintenance requirements. The user must only attend preventative maintenance once a year; there are no daily, weekly, or monthly requirements.

User-friendly software interface with numerous sequences

Preclinical researchers without prior knowledge of MR physics can use the optimized default sequences for some of the most popular imaging applications. This enables them to obtain outstanding images of their individual animal models in a reproducible manner utilizing M-Series devices.

Minimal animal preparation steps

Animals should be minimally anesthetized as imaging subjects must remain immobile during acquisition. This can be accomplished using the integrated anesthetic system. Once ready, the imaging subject is transferred to the animal handling platform and positioned within the coil.

Standard imaging does not require any additional preparation steps, allowing for the rapid imaging of a cohort of animals without additional manipulation of the imaging subject.

Hardware and software add-ons are available to integrate other imaging modalities, such as PET and bioluminescence

Multimodal imaging combines MRI’s excellent anatomical information with the sensitivity and specificity of molecular and metabolic imaging.

Models and specifications

M3 mice only

M-Series high-performance MRI

Image Credit: Scintica Instrumentation Inc

M5 mice, rats and other small animals

M-Series high-performance MRI

Image Credit: Scintica Instrumentation Inc

M7 mice, rats and other large animals

M-Series high-performance MRI

Image Credit: Scintica Instrumentation Inc

M12 non-human primates

M-Series high-performance MRI

Image Credit: Scintica Instrumentation Inc

M-Series preclinical MRI specifications

Source: Scintica Instrumentation Inc

Specifications
Front End
(Magnet Stand)
M3 M5 M7 M12
Dimensions
(Height x Width x Depth)
1080 x 734 x 734 mm
42.5 x 29 x 29 inches
1133 x 800 x 800 mm
44.6 x 31.5 x 31.5 inches
1320 x 790 x 950 mm
52 x 31 x 37.5 inches
1810 x 1450 x 1710 mm
71.26 x 57.09 x 67.32 inches
Weight 650 kg /
1430 lbs
950 kg /
2095 lbs
1550 Kg /
3415 lbs
5500 kg /
12,125 lbs
Magnet Opening
Flange Insertion
Diameter
Inner Bore (Height x Width)
70 mm / 2.8 inches

50 x 130 mm /
2 x 5.1 inches
No insertion flange in M5
(the bore is open)

76 x 200 mm /
3 x 7.9 inches
97 mm / 3.8 inches

220 x 90 mm /
8.6 x 3.5 inches

184 x 260 mm /
7.2 x 10.2 inches
Imaging Volume 80 x 80 x 35
mm3 spheroid
90 x 90 x 60
mm3 spheroid
120 x 120 x 70
mm3 spheroid
120 x 130 x 130
mm3 ellipsoid
Bo (Tesla) 1T 1T 1T 1T

 

Back End
Electronics & Cabinet
M3 M5 M7 M12
Dimensions 1760 x 600 x 1150 mm
69.3 x 23.6 x 45.3 inches
1760 x 600 x 1150 mm
69.3 x 23.6 x 45.3 inches
1760 x 600 x 1150 mm
69.3 x 23.6 x 45.3 inches
1760 x 600 x 1150 mm
69.3 x 23.6 x 45.3 inches
Weight 300 kg / 660 lbs 300 kg / 660 lbs 300 kg / 660 lbs 300 kg / 660 lbs

 

Gradients M3 M5 M7 M12
Strength 440 (X, Y), 540 (Z) mT/m 430 (X, Y, Z) mT/m 150 (X, Y, Z) mT/m 150 (X, Y, Z) mT/m
Slew rate (T/m/s) 1750 T/m/s 1720 T/m/s 500 T/m/s 500 T/m/s

 

All models

  • 20-240 VAC, 15 A, single phase in countries with 220-240 V 208 VAC, 15 A, single phase in countries using 120 V

Pulse sequences

  • Gradient echo with cardiac/respiratory trigger 
  • Gradient echo cardiac Cine 
  • FSE Single-shot and segmented diffusion imaging 
  • Diffusion-weighted imaging (DWI) 
  • Magnetization Prepared – Rapid Gradient Echo (MPRAGE)
  • Magnetic Resonance Venography (MRV)
  • Spin Echo (SE) 
  • Fast Spin Echo (FSE), 2D and 3D 
  • Gradient Echo (GRE), 2D and 3D 
  • Inversion Recovery modules for Gradient Echo, Spin Echo and FSE 
  • Dynamic Contrast Enhanced (DCE) 
  • FSE with Dixon water/fat separation 
  • FSE with cardiac/respiratory trigger 

Procedures

Procedures are pulse sequences paired with specific post-processing methods.

  • Water/fat separated images
  • T1-mapping
  • ADC (apparent diffusion coefficient) mapping
  • Cardiac CINE images

Animal handling system

Fully integrated animal handling and coil system includes:

M-Series high-performance MRI

Image Credit: Scintica Instrumentation Inc

  • Beds suitable for a variety of sized animals such as mice, rats, and non-human primates
  • Anatomy-specific coils improve signal-to-noise ratio and image quality
  • Completely integrated anesthetic delivery and gas exhaust scavenging
  • Individually controlled, multi-point, isoflurane vaporizer
  • Continuous monitoring of the ECG, heart rate, respiratory rate, and body temperature
  • Enables ECG and/or respiratory triggering
  • To keep the body temperature stable, heated water is constantly circulated

RF coils

Source: Scintica Instrumentation Inc

Type Inner Diameter Lenght
Mouse Head 23 mm 25 mm
Mouse Body 30 mm 50 mm
Mouse Whole Body 30 mm 80 mm
Rat Head 35 mm 40 mm
Rat Body 50/60 mm ellipsoid 90 mm
Large Rat Body 71 mm 90 mm
Non-human Primate 143 mm 120 mm

 

RF coils

Accessories and add-ons

The SimPET insert is a cutting-edge, small, low-power insert that fits within the M7 MRI and has exceptional PET detector stability. Based on cutting-edge silicon photomultiplier (SiPM) technology, the SimPET allows for truly simultaneous PET/MR imaging, providing high-resolution anatomical soft-tissue context and sensitive molecular and metabolic information for a variety of uses in oncology, cardiovascular biology, and neurology.

M-Series - Animal Preparation and Set up

Video Credit: Scintica Instrumentation Inc

M-Series imaging gallery

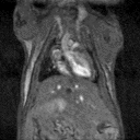
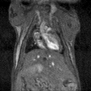
Anatomy & Morphology of mouse abdomen: T1- and T2- weighted scans of wildtype mouse body abdomen.

Anatomy & Morphology of mouse abdomen: T1- and T2- weighted scans of wildtype mouse body abdomen. Image Credit Scintica Instrumentation Inc

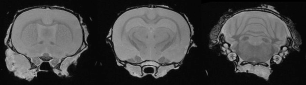
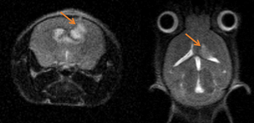
Neurobiology of mouse brain: T2- weighted images of a mouse brain.

Neurobiology of mouse brain: T2- weighted images of a mouse brain. Image Credit: Scintica Instrumentation Inc

Epilepsy in the rat brain: T2- weighted images of a rat brain 48 hours after induction of epilepsy.

Epilepsy in the rat brain: T2- weighted images of a rat brain 48 hours after induction of epilepsy. Image Credit: Scintica Instrumentation Inc

Tumor visualization in various cancer models: Fat-suppressed T2-weighted imaging can be used to detect and quantitatively characterize the growth of a wide range of cancer models

Tumor visualization in various cancer models: Fat-suppressed T2-weighted imaging can be used to detect and quantitatively characterize the growth of a wide range of cancer models. Image Credit: Scintica Instrumentation Inc

Hindlimb tumor growth: Monitoring the growth of xenograft tumor grown in the mouse hindlimb is identified with T2-weighted images. Segmentation of tumor region of interests (in red) on each tumor-containing slice allows accurate volume quantification.

Hindlimb tumor growth: Monitoring the growth of xenograft tumor grown in the mouse hindlimb is identified with T2-weighted images. Segmentation of tumor region of interests (in red) on each tumor-containing slice allows accurate volume quantification. Image Credit: Scintica Instrumentation Inc

Cardiac Cine loop images: Long axis view of a single slice of the heart was acquired with Cine loop images. Long axis images can be used for strain analysis in third party softwares.

Cardiac Cine loop images: Long axis view of a single slice of the heart was acquired with Cine loop images. Long-axis images can be used for strain analysis in third-party software. Image Credit: Scintica Instrumentation Inc

Ex Vivo Imaging: Ex vivo imaging can produce high-resolution images of the rat brain providing excellent delineation of brain regions.

Ex-Vivo Imaging: Ex vivo imaging can produce high-resolution images of the rat brain, providing excellent delineation of brain regions. Image Credit: Scintica Instrumentation Inc

Multimodal Imaging: Multimodal imaging combines the strength of MRI with other imaging modalities such as PET and CT. PET provides information on the spatial distribution of molecular signal of interest. In this case MRI confirmed that the absence of tracer uptake in the center of the images was due to the presence of a necrotic core, which appears hyperintense on T2-weighted MRI.

Multimodal Imaging: Multimodal imaging combines the strength of MRI with other imaging modalities such as PET and CT. PET provides information on the spatial distribution of molecular signal of interest. In this case MRI confirmed that the absence of tracer uptake in the center of the images was due to the presence of a necrotic core, which appears hyperintense on T2-weighted MRI. Image Credit: Scintica Instrumentation Inc

Applications

Anatomy and morphology

Numerous anatomical and morphological imaging objectives can be studied using the M-Series devices, such as:

  • Metabolic conditions, such as obesity and diabetes
  • Pathology of a particular organ, such as the liver, kidney, spleen, etc.
  • Perfusion of tissue with a contrast agent
  • Inflammation

T1- and T2- weighted images of Wild-type mouse abdomen.

T1- and T2- weighted images of Wild-type mouse abdomen. Image Credit: Scintica Instrumentation Inc

Maximum intensity projection show visceral fat segmentation from T1-weighted images of mouse abdomen.

Maximum intensity projection show visceral fat segmentation from T1-weighted images of mouse abdomen. Image Credit: Scintica Instrumentation Inc

T2-weighted images show mouse placenta and fetal development during pregnancy.

T2-weighted images show mouse placenta and fetal development during pregnancy. Image Credit: Scintica Instrumentation Inc

Neurobiology

The M-Series devices can be used to examine a large variety of neurological diseases and disorders, including:

  • Anatomy
  • Cerebral perfusion with contrast-enhanced angiography
  • Targeted molecular imaging with contrast agents
  • Traumatic Brain Injury (TBI)
  • Inflammation
  • Stroke
  • Epilepsy
  • Neurodegeneration
  • Tumor biology

T2- weighted images of a mouse brain.

T2- weighted images of a mouse brain. Image Credit: Scintica Instrumentation Inc

T2- weighted images of a rat brain 48 hours after induction of epilepsy.

T2- weighted images of a rat brain 48 hours after induction of epilepsy. Image Credit: Scintica Instrumentation Inc

T2- (top row) and T1- (bottom row) weighted images show stroke lesion and its segmentation (in red) within the rat brain.

T2- (top row) and T1- (bottom row) weighted images show stroke lesion and its segmentation (in red) within the rat brain. Scintica Instrumentation Inc 

Cancer/oncology

The M-Series devices are suitable for studying various tumor types and disease phases. Since no alteration of tumor cells is necessary, models such as xenografts, orthotopic, transgenic, and patient-derived xenografts can be studied in a wide range of imaging subjects to focus on.

  • Quantitative monitoring of tumor development
  • Quantitative response evaluation for drug studies
  • Tumor phenotyping, including necrosis detection
  • Tumor detection
  • Hypoxia and tumor hemodynamic microvasculature functional imaging (without contrast agents)
  • Targeted molecular imaging with contrast agents

Fat-suppressed T2-weighted imaging can be used to detect and quantitatively characterize the growth of a wide range of cancer models.

Fat-suppressed T2-weighted imaging can be used to detect and quantitatively characterize the growth of a wide range of cancer models. Image Credit: Scintica Instrumentation Inc

Monitoring the growth of xenograft tumor grown in the mouse hindlimb is identified with T2-weighted images. Segmentation of tumor region of interests (in red) on each tumor-containing slice allows accurate volume quantification

Monitoring the growth of xenograft tumor grown in the mouse hindlimb is identified with T2-weighted images. Segmentation of tumor region of interests (in red) on each tumor-containing slice allows accurate volume quantification. Image Credit: Scintica Instrumentation Inc

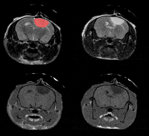
Monitoring tumor growth in the mouse brain, following the orthotopic injection of glioblastoma cells, using T2-weighted images.

Monitoring tumor growth in the mouse brain, following the orthotopic injection of glioblastoma cells, using T2-weighted images. Image Credit: Scintica Instrumentation Inc

Cardiovascular biology 

The M-Series systems enable cardiac images to be obtained from a wide range of imaging subjects to assess the following:

  • Strain and torsion
  • Myocardial perfusion
  • Angiography with contrast agents
  • Long and short axis acquisition
  • Systolic/Diastolic Volum
  • Ejection fraction
  • Fractional shortening
  • Wall thickness

All areas of the heart and accompanying vasculature can be easily viewed, including the left and right atrium, which would normally be difficult to image using conventional imaging modalities.

The M-Series technology significantly simplifies slice prescription for acquiring reproducible images, providing consistent data throughout a longitudinal study.

Fat-suppressed T2-weighted imaging can be used to detect and quantitatively characterize the growth of a wide range of cancer models.

Fat-suppressed T2-weighted imaging can be used to detect and quantitatively characterize the growth of a wide range of cancer models. Image Credit: Scintica Instrumentation Inc

Short axis view of a single slice of the heart was acquired with Cine loop images. Short axis images can be used for analysis of functional measurements in third party softwares

Short axis view of a single slice of the heart was acquired with Cine loop images. Short axis images can be used to analyze functional measurements in third-party software. Image Credit: Scintica Instrumentation Inc

Ex vivo imaging

Excised tissues preserved in formalin can undergo MRI at a resolution far higher than a live animal's. Ex-vivo 3D MRI makes identifying and measuring lesions in entire organs or brain structures possible. It can also assist in directing additional histopathological processing and sectioning for standard pathological analysis of areas of interest.

  • High-resolution imaging
  • Lesion detection
  • Volume quantification

Ex vivo imaging can produce high-resolution images of the rat brain providing excellent delineation of brain regions.

Ex vivo imaging can produce high-resolution images of the rat brain providing excellent delineation of brain regions. Image Credit: Scintica Instrumentation Inc

Ex vivo imaging of liver, allowing lesions to be identified, counted and measured (volume) as well as guide tissue sectioning for conventional pathological examination.

Ex vivo imaging of liver, allowing lesions to be identified, counted and measured (volume) as well as guide tissue sectioning for conventional pathological examination. Image Credit: Scintica Instrumentation Inc 

Multimodal imaging

According to current preclinical imaging trends, multimodal imaging can provide synergistic information on a particular disease model or response to a target compound, and it should be considered in all studies wherever feasible. The SimPET insert can be integrated with the M-Series to enable simultaneous PET/MRI.

Alternatively, the animal can be transported to different imaging modalities using a multimodal imaging cassette to fit inside the MRI coil on the M-Series. These images can be co-registered using third-party software like VivoQuant.

Multimodal imaging combines the strength of MRI with other imaging modalities such as PET and CT. PET provides information on the spatial distribution of molecular signal of interest. In this case MRI confirmed that the absence of tracer uptake in the center of the images was due to the presence of a necrotic core, which appears hyperintense on T2-weighted MR.

Multimodal imaging combines the strength of MRI with other imaging modalities, such as PET and CT. PET provides information on the spatial distribution of molecular signal of interest. In this case MRI confirmed that the absence of tracer uptake in the center of the images was due to the presence of a necrotic core, which appears hyperintense on T2-weighted MR. Image Credit: Scintica Instrumentation Inc

MRI is a complementary method to bioluminescence imaging in the detection of tumors allowing more precise assessment of the location and extent of orthotopic tumors (here an orthotopic model of prostate bone marrow metastasis).

MRI is a complementary method to bioluminescence imaging in the detection of tumors, allowing a more precise assessment of the location and extent of orthotopic tumors (here, an orthotopic model of prostate bone marrow metastasis). Image Credit: Scintica Instrumentation Inc

Contrast agents

Contrast agent-enabled functional and molecular imaging

The M-Series systems are ideal for T1 contrast agents like gadolinium (Gd) or manganese (Mn) because they all run at 1T. Compared to higher field strengths like 3T, 7T, or more, contrast agents offer higher signal enhancement at lower field strengths like 1T.

Furthermore, the system can be fully customized by using T2 contrast agents.

Contrast agents offer a wide range of functional and molecular imaging capabilities, including:

  • Delayed contrast-enhanced imaging in the heart to examine infarct size and tissue viability in the transmural area
  • Targeted molecular imaging
  • Stem cell tracking
  • Perfusion and vascular imaging
  • Dynamic Contrast Enhanced (DCE) acquisitions

MR angiography with high T1 relaxivity liposomal-Gd contrast agents produces reconstructed 3D map of the cerebral vasculature of a mouse brain.

MR angiography with high T1 relaxivity liposomal-Gd contrast agents produces reconstructed 3D map of the cerebral vasculature of a mouse brain. Image Credit: Scintica Instrumentation Inc

Dynamic contrast -enhanced (DCE-) MRI shows the change in T1-signal following the remote intravenous injection of a T1 contrast agent via the lateral tail vein, which can be used to quantify vascular perfusion.

Dynamic contrast-enhanced (DCE-) MRI shows the change in T1-signal following the remote intravenous injection of a T1 contrast agent via the lateral tail vein, which can be used to quantify vascular perfusion. Image Credit: Scintica Instrumentation Inc

Signal enhancement maps generated by subtraction of the pre-contrast T1-weighted images from post contrast images using third party software VivoQuant.

Signal enhancement maps generated by subtraction of the pre-contrast T1-weighted images from post-contrast images using third-party software VivoQuant. Image Credit: Scintica Instrumentation Inc

Other Equipment by this Supplier

While we only use edited and approved content for Azthena answers, it may on occasions provide incorrect responses. Please confirm any data provided with the related suppliers or authors. We do not provide medical advice, if you search for medical information you must always consult a medical professional before acting on any information provided.

Your questions, but not your email details will be shared with OpenAI and retained for 30 days in accordance with their privacy principles.

Please do not ask questions that use sensitive or confidential information.

Read the full Terms & Conditions.