With improved image quality and ergonomics, the Evident CKX53 delivers excellent performance and a comfortable workflow for a variety of cell culture needs including live cell observation, cell sampling and handling, image capture, and fluorescence observation.

Features

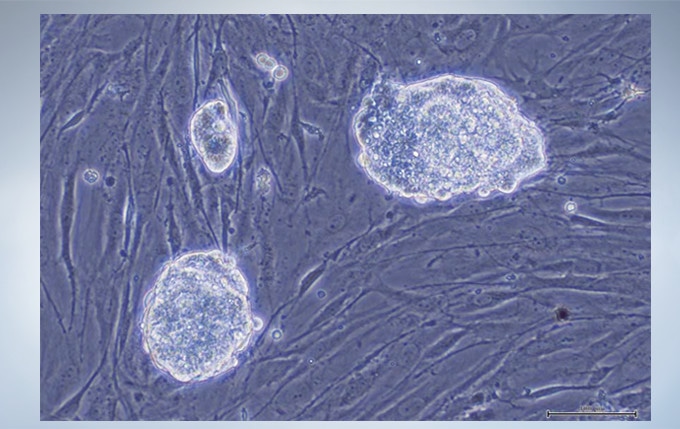
Live Cell Observations

Fast and Efficient Cell Observation with the Integrated Phase Contrast (iPC) System

The high contrast achieved by the CKX53 iPC system provides a clear view of cells at 4x, 10x, 20x, and 40x without the user having to exchange or re-center the ring slit. The new phase contrast system facilitates simple and efficient cell observation for a faster, more comfortable workflow.

Fast and Efficient Cell Observation with the integrated Phase Contrast (iPC) System

Clear, Wide View with the 2X Objective and FN 22

The ring slit for the PLN2X objective, CKX3-SLPAS, has a 22 mm field of view and an 11 mm diameter. As a result, observation using the objective is perfect for efficiently screening desired cells, enabling a faster cell culture process.

The 2X objective provides noticeably higher contrast that other objectives, allowing even transparent objects in the sample to be clearly identified. For example, when viewing a 96-well microplate, the wide visual field enables all the cells in a well to be observed without needing to move the stage.

Wide and Clear View with the 2X Objective

Experience 3D Views Driven by the “Inversion Contrast” (IVC) Technique

With this newly developed IVC technique, the depth of field is narrower than that of the phase contrast making it possible to render clear three-dimensional images for objects of any shape or transparency. In addition, IVC observation provides clear views without halos or directional shadows, preserving the integrity of object details during observation.
* 10X objectives (PLCN10X, CACHN10XIPC) are used for this new IVC observation.

Experience 3D Views Driven by the “Inversion Contrast” (IVC) Technique

Experience 3D Views Driven by the “Inversion Contrast” (IVC) Technique

Experience 3D Views Driven by the “Inversion Contrast” (IVC) Technique

Experience 3D Views Driven by the “Inversion Contrast” (IVC) Technique

User-Oriented Design for Efficient Cell Sampling and Handling

Efficient Cell Observation in Sterile Conditions

The CKX53 is designed to fit on a clean bench. With its UV-resistant coating, the microscope can be left on the clean bench during the UV light sterilization process. Compared with previous CKX models, the CKX53 is about 7 kg lighter and has a smaller footprint so that it occupies a minimal amount of lab space. The microscope can be easily moved with just one hand and carried by the neck of the observation tube. The base of the microscope has a sliding pad to make it easy to position.

CKX53 fits perfectly in a clean bench environment

CKX53 fits perfectly in a clean bench environment

Easy to move by one hand

Easy to move by one hand

Easy Cell Sampling in a Sterile Bench Environment

The shorter distance between the view point and the optical axis/focus knob on CKX53 facilitates natural hand positioning and makes focusing and cell sampling easier.

Easy Cell Sampling in a Sterile Bench Environment

Ergonomic Design for User-Friendly Operation

Whether making observations from a standing or seated position, the 45-degree angle of the eyepieces and the placement of the butterfly-shaped observation tube against the stage facilitates ergonomic cell observation. Sterile work can be started and completed quickly minimizing the time that cells are outside of the incubator.

All of the controls including the power switch, coarse and fine focus, and the knob for switching the light path are ergonomically located for enhanced operation and reduced user fatigue.

Ergonomic Design for User-Friendly Operation

Accommodates a Variety of Cell Culture Containers

With the CKX53’s universal holder, it is easy to view cells that were cultured in a variety of containers including dishes, microplates, and flasks. When the optional holder is attached, a maximum of three 35 mm dishes can fit on the stage. In addition, different types of microplates can be handled without the holder.

Easy Handling of Any Type of Cell Culture Containers

Easy Handling of Any Type of Cell Culture Containers

More Comprehensive Observation for a Multi-Layer Tissue Flask

Due to the width of CKX53 and the easily detachable condenser it is possible to view containers, such as multi-layer tissue flasks, up to 190 mm in height. The excellent depth of focus of the PLCN4X objective enables quick and easy cell observation of the two bottom layers within a multi-layer tissue flask.

More Comprehensive Observation for a Multi-Layer Tissue Flask

Flexibility of Using Different Containers

The arm of the holders can be lifted up so users can manually position cell culture containers. Additionally, the stage can be expanded up to 70 mm to the left and right for greater handling flexibility.

Flexibility of Using Different Containers

Other Equipment by this Supplier

While we only use edited and approved content for Azthena answers, it may on occasions provide incorrect responses. Please confirm any data provided with the related suppliers or authors. We do not provide medical advice, if you search for medical information you must always consult a medical professional before acting on any information provided.

Your questions, but not your email details will be shared with OpenAI and retained for 30 days in accordance with their privacy principles.

Please do not ask questions that use sensitive or confidential information.

Read the full Terms & Conditions.